Pandora Report: 7.22.2022

Happy Friday and the end to a sweltering week across the world! This week we discuss monkeypox as the WHO reconsiders a PHEIC declaration, a case of polio in New York, and BA.5’s spread in our third summer dealing with the pandemic. We also feature a Biodefense MS student’s recent work that is available on the Terrorism, Transnational Crime and Corruption Center’s website, the launch of One Health Workforce Academies, and new resources and discussion of how Canada is handling Russian disinformation. Stay cool and safe this weekend and we will see you next week!

Monkeypox Cases Break 15,000, WHO Reconsiders PHEIC Declaration

The growing monkeypox threat has started to hit much closer to home for many of us, as the global case count surpasses 15,000. Cases are still primarily in men who have sex with men, which WHO Director-General Tedros Adhanom Ghebreyesus explains offers both an opportunity and great cause for concern. “There is a very real concern that men who have sex with men could be stigmatised or blamed for the outbreak, making the outbreak much harder to track, and to stop,” said Tedros. “This transmission pattern represents both an opportunity to implement targeted public health interventions, and a challenge because in some countries, the communities affected face life-threatening discrimination.” With cases climbing, the WHO is meeting once again to determine if monkeypox is now a public health emergency of international concern, having opted not to do so last month.

In Europe, the epicenter of the global outbreak, a Dutch child was found to have the disease despite having no known exposure, according to a report in Eurosurveillance. The boy traveled to Turkey for a week in June and, upon returning home, developed facial lesions that later spread across his body. The authors explain that, “Indirect transmission routes have been described, such as respiratory transmission through droplets or contaminated materials such as bedding and towels, ” the authors explained. “Therefore, it is possible that the child was in close contact with an infectious person or contaminated object that was not recognised as such.” CIDRAP also notes, “Upon further investigation, the child was also diagnosed as having an immunoglobulin A (IgA) deficiency, which would make him more vulnerable to respiratory infections.”

US Announces Polio Case in New York

New York State Health Department officials announced this week that an unvaccinated man was diagnosed with polio, the first US case in nearly a decade. The man is reported to have developed paralysis, with his symptoms starting nearly a month ago despite not traveling outside the country. AP reports, “It appears the patient had a vaccine-derived strain of the virus, perhaps from someone who got live vaccine — available in other countries, but not the U.S. — and spread it, officials said. The person is no longer deemed contagious, but investigators are trying to figure out how the infection occurred and whether other people were exposed to the virus.” Polio primarily affects children under the age of five and, while there is not a cure, it is vaccine preventable with the CDC reporting that people who are vaccinated “are most likely protected for many years after a complete series of [vaccines]”.

The Hot(test) COVID Summer Yet?

Amid record-breaking temperatures and swelling case counts, many are turning their attention again to issues in masking and the uneasy “peace” there currently is with COVID-19, even as public fears about frequent reinfection with BA.5 loom. President Biden also tested positive this week, another in a long string of world leaders who have caught the disease over the last couple of years. However, as debates continue to rage about masking, it is important to remember the serious risks the extreme heat poses. Biodefense Program faculty member, Dr. Saskia Popescu, posted this reminder on Twitter:

“Illicit Trade and Biological Risk”

Biodefense MS student, Michelle Grundahl, recently was featured on the Schar School’s Terrorism, Transnational Crime and Corruption Center’s website along with her paper discussing the often overlooked global health and BW proliferation risks illicit trade carries. Her paper covers biosecurity risks, illicit or unregulated animal trade, deliberately-made biological risks, and policy solutions, concluding “Holistic approaches are required for the prevention and control of emerging and resurging diseases. The complex (and sometimes illicit) interconnections among humans, domestic animals, and wildlife can share threats of disease – to individuals, food supplies, economies, and the functioning ecosystems that support all the species on Earth.”

This Podcast Will Kill You: “Episode 100 Monkeypox: Here We Go Again?”

Need a one-stop shop for information and context about monkeypox? The Erins are back, discussing the history, biology, and epidemiology of this disease in their latest episode of This Podcast Will Kill You.

Virtual Course: Combating Transnational Organized Crime and Illicit Trade: A Focus on the Americas

The Schar School’s Terrorism, Transnational Crime and Corruption Center is partnering with UPEACE to offer this week-long course. The course aims to improve students’ comprehension of the dynamics of transnational organized crime, focusing on money laundering, corruption, illicit trade, security, free trade zones, state fragility, and the UN Sustainable Development Goals (Agenda 2030).

The main objective of the course is to identify how different types of crime impact the capacity of the state to manage and mitigate internal and external threats. The course will also push participants to think about organized crime from a more nuanced perspective, specifically as an aspect of social conflict, emphasizing that the challenges for promoting peace are embedded in local, regional, and global contexts.

The 1-week innovative certificate course will take place virtually from the 22nd to the 26th of August 2022 and has a fee of $200 USD. Learn more and register here.

International One Health Conference- A Systemic Approach to Managing Urban and Natural Resources

The University of Catania is hosting this conference on September 27-28, 2022. The conference will be held in hybrid form, with 1/2 days to share and debate on experiences of systemic approaches to One Health and visions for a better systemic approach to managing urban and natural resources. “The conference aims to activate synergic dialogues among disciplinary research fields and action domains among researchers, experts and students. The One Health conceptual framework and the possible contribution from the One Health approach in the urban resilience capacities enhancement will be the core of the congress dialogues.” Learn more and register here.

One Health Workforce Academies Launches

One Health Workforce Academies (OHWA), a program backed by USAID, UC Berkeley, Eco Health Alliance, and more recently launched its website that will soon offer online training in a number of topics and even One Health certification. It will also soon offer a career board and a number of pages for students looking to become involved in the movement.

Biointelligence and Biosecurity for the Intelligence Community Seedling Research Topic – Broad Agency Announcement

ODNI’s Intelligence Advanced Research Projects Activity (IARPA) recently announced Naval Information Warfare Center, Pacific, on behalf of IARPA, is soliciting proposals under a broad agency announcement for the Biointelligence and Biosecurity for the Intelligence Community (B24IC) program’s Seedling Research Topic. The B24IC program “…seeks to develop new capabilities, matching the wider synthetic biology and biotechnology fields, ensuring the Intelligence Community’s (IC’s) capability to meet the biointelligence and biosecurity threats of the 21st century.” Learn more about the solicitation on SAM.gov.

Russian WMD Disinformation Resources

We are currently working on creating a searchable collection of resources on Russian WMD disinformation on the Pandora Report site. The page is a work in progress, and currently just lists resources we have highlighted in the past. In the meantime, here are some recent updates and works on the topic:

“Canada’s Efforts to Counter Disinformation – Russian Invasion of Ukraine”

Our neighbor to the north is cracking down on Russian disinformation, having recently launched their own government website debunking and outlining Russian attempts to influence narratives abroad in recent years in the wake of Foreign Affairs Minister Mélanie Joly’s announcement of a new round of sanctions against the Kremlin. It is also increasingly clear that right-wing Canadians are also struggling with Russian disinformation, as discussed by a team of scholars from Toronto Metropolitan University recently in The Conversation. Their article, “Russian Propaganda is Making Inroads with Right-Wing Canadians,” reads in part, “Slightly over half of Canadians (51 per cent) reported encountering at least one persistent, false claim about the Russia-Ukraine war on social media pushed by the Kremlin and pro-Kremlin accounts.”

“Fact Sheet on WMD Threat Reduction Efforts with Ukraine, Russia and Other Former Soviet Union Countries”

The Department of Defense recently released this fact sheet covering the history and accomplishments of US collaboration with the international community to reduce WMD threats in Ukraine, Russia, and other countries who were formerly part of the USSR. It provides a comprehensive yet concise timeline of efforts, including the Nunn-Lugar CTR program, and discusses efforts by Russia and China to undermine these immense accomplishments today to further their agendas.

Pandora Report: 7.15.2022

It’s Friday and we are bringing you updates on new recommendations to improve US Government DURC and ePPPs oversight, a recent GAO report on CDC’s data system’s faults, ISIS plans to use chemical weapons in Europe, and new US legislation that could ban NIH and CDC funds from being used to support Chinese researchers. We also have the usual slate of new publications and upcoming events in addition to announcements and updates to our running list of information on Russia’s WMD disinformation campaign.

Experts Propose Strengthening US Government’s Enhanced Potential Pandemic Pathogen Framework and Dual Use Research of Concern Policies

A group of scientists and experts in public health and policy have submitted recommendations “…intended to strengthen the oversight of research involving enhanced potential pandemic pathogens (ePPPs) and life sciences dual-use research of concern to the White House National Security Council and Office of Science and Technology Policy, the US National Institutes of Health (NIH), and the National Science Advisory Board on Biosecurity (NSABB). The US government is currently reviewing its policies that provide governance and guidance for this realm of research.” Their recommendations include actions like “Modify and expand the scope of pathogens to be governed by the ePPP Framework,” “Clarify and restructure processes of review, communication, biosafety and biosecurity, and transparency,” and “Revise the USG DURC Policy to expand its scope and clarify requirements.” Dr. Gregory Koblentz endorsed the recommendations. Read more about them here.

Audit Finds the CDC is Unprepared to Quickly Respond to Disease Threats Posed by International Travel

A new Report to Congressional Addressees from the Government Accountability Office, “Contact Tracing for Air Travel: CDC’s Data System Needs Substantial Improvement,” found that “…limitations in how CDC collects and manages air passengers’ contact information—including CDC’s use of an outdated data management system— hinder the agency’s ability to monitor public health risks and facilitate contact
tracing.” It continues on to explain that, “The data management system—developed in the mid-2000s—was not designed for rapid assessment or aggregation of public health data across individual cases. For example, CDC is unable to quickly and accurately identify the number of passengers exposed to a specific infected passenger on a flight. Nor does the system contain the necessary data fields to assess the quality of air passenger information CDC receives, such as a field to determine the timeliness of airlines’ responses to CDC’s request. Consequently, CDC is not positioned to efficiently analyze and disseminate data to inform public health policies and respond to disease threats. Nor is it positioned to evaluate its performance in collecting and sharing quality passenger information.”

ISIS Planned Chemical Weapons Attacks in Europe

Joby Warrick, author of Black Flags, writes in The Washington Post about the results of a UN investigation into the terrorist group’s plans to use chemical weapons in Europe, writing “New insights also are emerging from a U.N. investigation that is combing through millions of pages of Islamic State records as it seeks evidence of the group’s war crimes. In addition, several current and former U.S. officials in interviews with The Post spoke for the first time in detail about an urgently planned military operation, conducted in 2015 by U.S. Special Operations forces with assistance from Kurdish Peshmerga operatives, to kill Sabawi and crush the weapons program before it reached maturity.” Salih al-Sabawi, an Iraqi CW expert later known in ISIS as Abu Malik, had the intention to “create a large stockpile consisting of multiple types of chemical and biological agents to be used in military campaigns as well as in terrorist attacks against the major cities of Europe,” according to US officials.

Dr. Gregory Koblentz was quoted in the article as well, saying: “If Abu Malik had survived, his experience working for Saddam’s program would have made the threat of the Islamic State’s chemical weapons much higher,” said Gregory Koblentz, an expert on chemical and biological weapons and director of the Biodefense Graduate Program at the Schar School of Policy and Government at George Mason University. “It is pretty horrifying to think of what could have happened if the Islamic State had used a chemical weapon, instead of guns and bombs, to conduct one of their attacks in a major European city.”

Bill Proposes Ban on NIH and CDC Funding for Chinese Research Laboratories

The debate over US support for Chinese research facilities continues as lawmakers consider a ban that would bar funds from the CDC and NIH from being used to support institutions in certain countries. The ban is part of a 2023 spending bill that passed the House of Representatives Committee on Appropriations in late June that grew out of suspicions about the Wuhan Institute of Virology, according to Science. Jocelyn Kaiser writes, “Specifically, the measure would bar the Department of Health and Human Services (the parent agency of NIH and CDC) from funding WIV or “any other laboratory” in China, Russia, or any country the U.S. government has designated a foreign adversary, a list that currently includes Iran and North Korea.” She continues, explaining “Some scientific organizations are concerned by the proposal’s expansive scope. “It seems a bit extreme,” says Eva Maciejewski, spokesperson for the Foundation for Biomedical Research, which advocates for animal research. “In theory it’s good to have oversight over biosafety and animal welfare, but in practice there may be better ways than blocking all NIH funding to foreign countries.”

There are also concerns for how this could impact patient recruitment and international research teams, Maciejewski explains. “Projects that do not involve laboratory work—such as a long-running NIH-funded survey on health and retirement in China—could be spared. But many others would likely be vulnerable, including three projects headed by Chinese investigators studying influenza and the mosquito-borne diseases dengue and malaria, and dozens of subawards to Chinese groups participating in clinical trials of drugs, studies of the health effects of heavy metals, and neuroscience research. The U.S. leader of one clinical trial in Shanghai—who asked for anonymity—said his Chinese partner is a former trainee and “close collaborator,” and it would not be possible to recruit enough patients at a single site in the United States.”

CDC Special Report-“COVID-19 U.S. Impact on Antimicrobial Resistance”

CDC’s new report discusses changes in healthcare settings and other consequences of the pandemic that have worsened antimicrobial resistance in the US. The report focuses on COVID-19’s impacts on tracking and data, preventing infections, antibiotic use, environment and sanitation, and vaccines, diagnostics, and therapeutics. It finds that there was an increase of at least 15% from 2019 to 2020 in resistant infections starting during hospitalization, also noting that “Because of pandemic impacts, 2020 data are delayed or unavailable for 9 of the 18 antimicrobial resistance threats.” It also provides an outlook and recommendations for the future of building public health capacity for antimicrobial resistance.

“Germany Prioritizes Biosecurity for Global Partnership”

Kelsey Davenport writes in the latest edition of Arms Control Today that, “Germany plans to prioritize biological security during its year-long presidency of the Global Partnership Against the Proliferation of Weapons of Mass Destruction.” Her article explains recent presidents’ efforts and priorities while leading the Global Partnership and how Rüdiger Bohn, the German deputy commissioner for arms control and disarmament, plans to tackle major challenges moving forward.

CBRNe World June Issue

The latest edition of CBRNe World includes a number of interesting articles, including “Lies, Damned Lies and Russia Statistics: Robert Petersen on the Disinformation Campaign,” “Crimes Against History: Historical CW Crimes in Soviet Russia,” “The Monkeypox Prophecy: Zoe Rutherford on the Current Epidemic,” and “Quality of Life: Dr Faraidoun Moradi on Life After Sarin.” A free basic subscription to the magazine is available on its website.

“Strengthening the Global Bioeconomy to Sidestep the Next Pandemic”

Wilmot James and Lewis Rubin-Thomspon write in BusinessDay about what it will take to overhaul the bioeconomy and improve pandemic preparedness, writing “In a world that feels increasingly post-pandemic, the reality is that another pathogen more deadly and infectious than Sars-CoV-2 could arise at any time. To break a historic cycle of “panic-and-neglect” in health security, the time to bolster our ability to detect and respond to such biological threats is now.” They argue that the results of a poorly functioning global bioeconomy were on display early in the pandemic as countries failed to use or lacked existing laboratory and healthcare infrastructure, and that “…decades of progress in biotechnology and the streamlining of R&D processes helped compensate for early shortcomings of the global response, demonstrating the importance of investment in preventive infrastructure.”

Virtual Course: Combating Transnational Organized Crime and Illicit Trade: A Focus on the Americas

The Schar School’s Terrorism, Transnational Crime and Corruption Center is partnering with UPEACE to offer this week-long course. The course aims to improve students’ comprehension of the dynamics of transnational organized crime, focusing on money laundering, corruption, illicit trade, security, free trade zones, state fragility, and the UN Sustainable Development Goals (Agenda 2030).

The main objective of the course is to identify how different types of crime impact the capacity of the state to manage and mitigate internal and external threats. The course will also push participants to think about organized crime from a more nuanced perspective, specifically as an aspect of social conflict, emphasizing that the challenges for promoting peace are embedded in local, regional, and global contexts.

The 1-week innovative certificate course will take place virtually from the 22nd to the 26th of August 2022 and has a fee of $200 USD. Learn more and register here.

International One Health Conference- A Systemic Approach to Managing Urban and Natural Resources

The University of Catania is hosting this conference on September 27-28, 2022. The conference will be held in hybrid form, with 1/2 days to share and debate on experiences of systemic approaches to One Health and visions for a better systemic approach to managing urban and natural resources. “The conference aims to activate synergic dialogues among disciplinary research fields and action domains among researchers, experts and students. The One Health conceptual framework and the possible contribution from the One Health approach in the urban resilience capacities enhancement will be the core of the congress dialogues.” Learn more and register here.

Strengthening Private Public Partnerships in Pandemic Preparedness for National Security and Economic Competitiveness

Join the Capitol Hill Steering Committee on Pandemic Preparedness and Health Security for a webinar, Strengthening Private Public Partnerships in Pandemic Preparedness for National Security and Economic Competitiveness, on Wednesday, July 20, at 12pm (ET). Register here.

The country’s response to the COVID-19 pandemic led to new public-private partnerships (PPPs) that drove the development of new medical countermeasures and bolstered domestic manufacturing capacity for medical products. This session will highlight the key components of what is necessary to incentivize, facilitate, and sustain effective PPPs for innovation to bolster pandemic prevention, preparedness, and response; what Congress can do to support and leverage such partnerships, the role of the appropriations process; and how the US can be better positioned in the global economy through increased investments in PPPs in the areas of health security and advanced life science.

The Mold That Changed the World– Popular UK Play Comes to the US Fall 2022

The Mould That Changed the World, a UK show that tells the story of the discovery of antibiotics and the risks of antibiotic use, is headed to Washington DC and Atlanta this fall, appropriately re-titled “The Mold That Changed the World” for us Americans. Learn more, buy tickets, and even audition here.

Biointelligence and Biosecurity for the Intelligence Community Seedling Research Topic – Broad Agency Announcement

ODNI’s Intelligence Advanced Research Projects Activity (IARPA) recently announced Naval Information Warfare Center, Pacific, on behalf of IARPA, is soliciting proposals under a broad agency announcement for the Biointelligence and Biosecurity for the Intelligence Community (B24IC) program’s Seedling Research Topic. The B24IC program “…seeks to develop new capabilities, matching the wider synthetic biology and biotechnology fields, ensuring the Intelligence Community’s (IC’s) capability to meet the biointelligence and biosecurity threats of the 21st century.” Learn more about the solicitation on SAM.gov.

Russian WMD Disinformation Resources

We are currently working on creating a searchable collection of resources on Russian WMD disinformation on the Pandora Report site. The page is a work in progress, and currently just lists resources we have highlighted in the past. In the meantime, here are some recent updates and works on the topic:

Russia Finds Another Stage for the Ukraine “Biolabs” Disinformation Show”

Dr. Filippa Lentzos and Jez Littlewood discuss Russia’s triggering of Article V of the BWC, forcing the 184 member states to hold a special summer session to hear Russia’s claims about illegal US “biolabs” and the United States’ response. Read more on the Bulletin of the Atomic Scientists.

“Lies, Damned Lies and Russian Statistics”

Robert Petersen, an analyst at Denmark’s Centre for Biosecurity and Biopreparedness, authored this piece for CBRNe World comparing and discussing Russia’s historical and current disinformation campaigns, arguing that the current effort has utterly failed “to sow discord among US allies, prevent support to Ukraine and legitimise the Russian invasion.” However, he also writes, “On the other hand, the campaign has managed to persuade a quarter of the American public that the US military has been developing biological weapons across Ukraine”

“Fact Sheet on WMD Threat Reduction Efforts with Ukraine, Russia and Other Former Soviet Union Countries”

The Department of Defense recently released this fact sheet covering the history and accomplishments of US collaboration with the international community to reduce WMD threats in Ukraine, Russia, and other countries who were formerly part of the USSR. It provides a comprehensive yet concise timeline of efforts, including the Nunn-Lugar CTR program, and discusses efforts by Russia and China to undermine these immense accomplishments today to further their agendas.

Schar School Applications Open- Deadline July 15

The Biodefense program is accepting Fall 2022 applications for our MS and graduate certificate program through July 15. Learn more about our admissions process and apply here.

Pandora Report: 7.8.2022

This week starts with some exciting updates from our faculty and alumni, including new legislation in the Senate and a faculty award. We also include updates on COVID-19 in North Korea, suspected Marburg cases in Ghana, and NATO’s new CBRN defense policy. As always, there are plenty of new publications and upcoming events included too. Happy Friday and end to what has been a very interesting week globally!

Bipartisan Offices of Countering Weapons of Mass Destruction and Health Security Act Introduced in Senate

US Senators Rob Portman and Gary Peters have introduced the bipartisan Offices of Countering Weapons of Mass Destruction and Health Security Act to “significantly enhance the federal government’s ability to detect, recognize, and evaluate threats from weapons of mass destruction, which include chemical, biological, radiological, and nuclear (CBRN) weapons. The bill would reauthorize the Countering Weapons of Mass Destruction (CWMD) office, which leads the Department of Homeland Security’s (DHS) effort to safeguard the country from CBRN threats. The legislation would also authorize the new Office of Health Security (OHS) that ensures DHS can better address public health and medical related security threats across the Department – including assisting with medical care in the event of potential attacks from CBRN weapons.” 

Biodefense Program faculty member Dr. Ashley Grant, a lead biotechnologist at the MITRE Corporation and Brooking LEGIS Congressional Fellow, helped produce this bill.

Biodefense Program Alumnus Wins Faculty Award

Dr. Keith Ludwick (Biodefense PhD, 2016) recently received American Military University’s 2022 Graduate Excellence in Teaching Award. Dr. Ludwick currently serves as an Associate professor at American Military University teaching a variety of courses surrounding technology, intelligence, and national security in their Doctorate of Strategic Studies Program.  In addition, he serves on several dissertation committees.

USCG Academy Offers Soon-to-Be Ensigns CBRN Training

The US Coast Guard Academy recently offered senior cadets “Chemical, Biological, Radiological and Nuclear (CBRN) training as part of a pilot program organized by the Coast Guard Countering Weapons of Mass Destruction (CWMD) Program in the Office of Specialized Capabilities (CG-721). This training was the inaugural offering to senior class cadets before they enter the fleet to their first assignments as commissioned officers. The cadets participated in online training and then underwent a practical training scenario offered by the Special Missions Training Center (SMTC). As the threat of CBRN incidents increase, it is critical to train and raise awareness for our future leaders.”  

Dr. Jennifer Osetek, a Biodefense PhD alumna working as the Office of Specialized Capabilities CWMD Program’s biological and chemical weapons SME, wrote this blog post on the training.

North Korea Blames “Alien Things” and Balloons for Introducing COVID-19 in the Country

Rodong Sinmun, the official paper of the Central Committee of the Workers’ Party of Korea, recently claimed that COVID-19 spread into North Korea via “alien things coming by wind” and “other climate phenomena and balloons,” first infecting a soldier and young student near the border with South Korea. KCNA and other outlets referenced these balloons and, though they did not explicitly name North Korean defectors and other activist groups in the South in doing so, these are the groups that normally send balloons over the border into North Korea. The first time they did so this year was in April, well before the North admitted it was in the midst of an outbreak in mid-May. NK News writes, “The country’s epidemic headquarters called for officials to “strengthen the all-people supervision and report system in which anyone notifies of alien things instantly after seeing them, and tighten such anti-epidemic measures as making the emergency anti-epidemic teams strictly remove those things.” North Korea is currently reporting nearly 5 million cases with just 74 deaths. South Korea’s Ministry of Unification rejected this claim entirely.

Rodong Sinmun reports 1,630 “fever” cases and 2,060 recoveries today. It says the country’s total sits at 4,763,360 cases with 4,760,170 (99.933%) recoveries and 3,110 (0.065%) receiving medical treatment.

On a related note – In early June, officials in Dandong, a Chinese city near the border with North Korea that was locked down at the time, were unable to determine where an outbreak came from and announced they believed COVID-19 blew over the border into the city. China also claimed that the Omicron variant entered the country via a piece of Canadian mail early this year, so there is no shortage of far-fetched claims in this region either.

NATO Updates CBRN Defense Policy

The North Atlantic Treaty Organization recently updated its CBRN defense policy, replacing the Comprehensive, Strategic-Level Policy for Preventing the Proliferation of Weapons of Mass Destruction (WMD) and Defending against Chemical, Biological, Radiological and Nuclear (CBRN) Threats with its Chemical, Biological, Radiological and Nuclear (CBRN) Defence Policy. The latter now supersedes the former and reads in part, “NATO’s security environment has grown more complex and challenging since 2009, when Allies agreed NATO’s Comprehensive, Strategic-Level Policy for Preventing the Proliferation of Weapons of Mass Destruction (WMD) and Defending against Chemical, Biological, Radiological and Nuclear (CBRN) Threats. That Policy has served as a cornerstone of Allied security and stability for thirteen years. Today, we face a world in which the potential use of CBRN materials or WMD by state and non-state actors remains a central and evolving threat to Allied security. It is a world in which NATO increasingly cannot assume that the international norms and institutions related to the proliferation or use of Weapons of Mass Destruction (WMD) will ensure our security, and in which scientific and technological innovation and other emerging trends have accentuated CBRN risks to the Alliance.”

Suspected Marburg Cases Reported in Ghana

Ghana has reported its first ever cases of Marburg virus disease, according to the WHO, in two patients in the Ashanti region. The patients are now deceased and were unrelated. Their samples were taken by Noguchi Memorial Institute for Medical Research and were provided to the Institut Pasteur in Senegal, a World Health Organization (WHO) Collaborating Centre for confirmation. According to WHO, “WHO is deploying experts to support Ghana’s health authorities by bolstering disease surveillance, testing, tracing contacts, preparing to treat patients and working with communities to alert and educate them about the risks and dangers of the disease and to collaborate with the emergency response teams.”

World Bank Board Approves New Fund for Pandemic Prevention, Preparedness and Response (PPR)

The World Bank’s Board of Executive Directors announced recently the “…establishment of a financial intermediary fund (FIF) that will finance critical investments to strengthen pandemic PPR capacities at national, regional, and global levels, with a focus on low- and middle-income countries. The fund will bring additional, dedicated resources for PPR, incentivize countries to increase investments, enhance coordination among partners, and serve as a platform for advocacy. The FIF will complement the financing and technical support provided by the World Bank, leverage the strong technical expertise of WHO, and engage other key organizations.” Read more about this FIF on the World Bank’s fact sheet for it, including the potential for use to support One Health activities.

Countering WMD Journal Spring/Summer 2022 Edition Out

The US Army Nuclear and Countering WMD Agency’s newest edition of the Countering WMD Journal is available online now. This issue includes articles ranging from “The Army’s Place on the Nuclear Battlefield” to “Targeting Al Shifa: Explaining an Intelligence Failure” and “The Unknown Unknowns of Paleovirus Hunting”.

“A World Emerging from Pandemic: Implications for Intelligence and National Security”

This paper from the US National Intelligence University and DoD’s Strategic Multilayer Assessment program was recently released and is available here.

“This edited volume explores how the COVID pandemic has impacted—and will continue to impact—the US Intelligence Community. Authors from multiple disciplines probe the ways in which pandemic-associated conditions interact with national security problem sets. This work presents evidence-based, qualitative, quantitative, and mixed-methods analyses so their projections can be tested against future conditions. This project is the result of a cooperative effort between National Intelligence University and the Pentagon’s Joint Staff Strategic Multilayer Assessment office.”

“The G7 Summit’s Geopolitical Pivot Signals a Difficult Future for Global Health”

David P. Fidler’s article in Think Global Health discusses how war in Europe and shifts in the global power balance overshadowed global health at this year’s G7, despite pre-summit meetings and the leaders’ communique identifying numerous global health threats. Fidler also discusses issues like G7 countries’ being “…unlikely to generate ideological benefits by providing climate adaptation assistance because they bear great responsibility for causing climate change.” He writes, “China and Russia turned the geopolitical tables on democracies despite decades of global health leadership by G7 countries. That reality sends a warning that such leadership does not produce balance-of-power or ideological benefits for democracies. Nor did those decades of global health leadership make the G7 democracies reliable partners concerning the two greatest transnational threats to global health—pandemics and climate change.”

“NTI-WEF Technical Consortium for DNA Synthesis Screening Comments on Revised U.S. Government Guidance”

The Technical Consortium for DNA Synthesis Screening, convened by the Nuclear Threat Initiative and the World Economic Forum, recently responded to the US government’s request for comment on its Revised Screening Framework Guidance for Providers and Users of Synthetic Oligonucleotides—fragments of DNA or RNA. The government’s Revised Guidance was published in April 2022 as an update to the influential guidance initially established in 2010 that set standards for screening customers and DNA sequences for synthetic DNA orders. NTI explains, “The Technical Consortium’s comment—signed by leading technical and policy experts from biotechnology industry, the academic research community, and the biosecurity community—expresses support for many aspects of the Revised Guidance, noting “[we] applaud the U.S. government for releasing this Revised Guidance and opening an important, valuable discussion on these challenging topics.” The comment recommends a dual-track strategy to expand biosecurity screening practices to providers who don’t currently screen and improve such practices among responsible providers.”

“Healthier Ecosystem and Food Systems in East Asia and Pacific Can Reduce Global Pandemic Risks”

Benoît Bosquet, Sitaramachandra Machiraju, and Daniel Mira-salama recently authored this World Bank blog post discussing One Health and how improvements in food system practices can help prevent future pandemics. They write, “East Asia and Southeast Asia have large and densely concentrated human settlements, high livestock populations, and abundant wildlife. Rapid urbanization and agricultural expansion are leading to encroachment into wilderness areas, increasing the likelihood of pathogen spillover between humans and wild animals. These factors along with climate change are increasing the possibility of transmission of both zoonotic and vector-borne diseases. Consequently, many EAP countries are at a high risk of zoonotic outbreaks. Increasing domestic and wildlife trade in the region, deforestation and ecosystem degradation, together with inadequate livestock biosecurity and food hygiene practices, represent additional risk factors.”

The blog post accompanies two report, “From Reacting to Preventing Pandemics: Building Animal Health and Wildlife Systems in East Asia and Pacific” and “Reducing pandemic risks at source: Wildlife, Environment and One Health Foundations in East and South Asia“.

“How Pfizer Won the Pandemic, Reaping Outsize Profit and Influence”

Arthur Allen discusses how Pfizer came to gain substantial weigh in determining US health policy in developing COVID-19 vaccines and antivirals in this new article in Kaiser Health News. He writes in part, “Pfizer’s terms in the contracts exclude many taxpayer protections. They deny the government any intellectual property rights and say that federal spending played no role in the vaccine’s development — even though National Institutes of Health scientists invented a key feature of Pfizer’s vaccine, said Robin Feldman, a patent law expert at the University of California.” He also explains that, “Pfizer’s 2021 revenue was $81.3 billion, roughly double its revenue in 2020, when its top sellers were a pneumonia vaccine, the cancer drug Ibrance, and the fibromyalgia treatment Lyrica, which had gone off-patent. Now its mRNA vaccine holds 70% of the U.S. and European markets. And its antiviral Paxlovid is the pill of choice to treat early symptoms of covid. This year, the company expects to rake in more than $50 billion in global revenue from the two medications alone.”

TEXGHS: Monkeypox and the Western Media’s Portrayal of Infectious Disease

Join TEXGHS for their free monthly lecture series, featuring public health physician & global health thought leader Dr. Ifeanyi Nsofor on July 12 at 12 pm CDT. Global health is colonial in its origin. This colonial nature is reflected in skewed leadership of global health organizations favoring the global north. It is also reflected in the way some western media outlets paint the African continent: as a disease-ridden continent (or country) incapable of helping itself. This bias reporting must stop in the interest of both global north and global south.

Strengthening Private Public Partnerships in Pandemic Preparedness for National Security and Economic Competitiveness

Join the Capitol Hill Steering Committee on Pandemic Preparedness and Health Security for a webinar, Strengthening Private Public Partnerships in Pandemic Preparedness for National Security and Economic Competitiveness, on Wednesday, July 20, at 12pm (ET). Register here.

The country’s response to the COVID-19 pandemic led to new public-private partnerships (PPPs) that drove the development of new medical countermeasures and bolstered domestic manufacturing capacity for medical products. This session will highlight the key components of what is necessary to incentivize, facilitate, and sustain effective PPPs for innovation to bolster pandemic prevention, preparedness, and response; what Congress can do to support and leverage such partnerships, the role of the appropriations process; and how the US can be better positioned in the global economy through increased investments in PPPs in the areas of health security and advanced life science.

Russian WMD Disinformation Resources

We are currently working on creating a searchable collection of resources on Russian WMD disinformation on the Pandora Report site. The page is a work in progress, and currently just lists resources we have highlighted in the past. In the meantime, here are some recent updates and works on the topic:

“Russian Disinformation Finds Fertile Ground in the West”

Ilya Yablokov’s June article in Nature Human Behaviour discusses potential methods for tackling Russian disinformation in the West. 

Recording- The History and Future of Planetary Threats | Biological Risks and Hazards in the World Today- with Special Focus on Russia and Ukraine

A panel of experts, including our own Dr. Gregory Koblentz, discussed evolving biological risks, the health security environment in post-Soviet states, and the biological risks posed by Russia’s invasion of Ukraine- including those associated with Russia’s disinformation campaign at this event in May! Access the event recording here.

“A Perspective on Russian Cyberattacks and Disinformation”

Glenn Gerstell, a senior advisor at the Center for Strategic and International Studies and former general counsel of the National Security Agency, was interviewed at a Wall Street Journal event in San Francisco in front of a live audience. The discussion focused on Russian cyberattacks against Ukraine and Russia’s use of disinformation. Highlights of the discussion are available here.

“Fact Sheet on WMD Threat Reduction Efforts with Ukraine, Russia and Other Former Soviet Union Countries”

The Department of Defense recently released this fact sheet covering the history and accomplishments of US collaboration with the international community to reduce WMD threats in Ukraine, Russia, and other countries who were formerly part of the USSR. It provides a comprehensive yet concise timeline of efforts, including the Nunn-Lugar CTR program, and discusses efforts by Russia and China to undermine these immense accomplishments today to further their agendas.

Schar School Applications Open- Deadline July 15

The Biodefense program is accepting Fall 2022 applications for our MS and graduate certificate program through July 15. Learn more about our admissions process and apply here.

Pandora Report: 7.1.2022

Happy July 4th weekend to our US readers! This week, we cover the US release of smallpox vaccines to combat the spread of monkeypox, the first decade with CRISPR, and plenty of great publications and an exciting upcoming TEXGHS event. Also, the Global Partnership just turned 20, making it of legal drinking age in all G7 countries except for the US!

Happy Birthday to the Global Partnership Against the Spread of Weapons and Materials of Mass Destruction!

The G7-led Global Partnership Against the Spread of Weapons and Materials of Mass Destruction (Global Partnership) turned 20 this week! Launched on June 27, 2002, at the Kananaskis G8 summit, the Global Partnership is an international initiative aimed at preventing the proliferation of chemical, biological, radiological, and nuclear weapons and related materials. You can find the partnership’s latest newsletter and subscribe here to wish it a happy birthday.

Monkeypox Not Declared PHEIC, US Expands Vaccine Access

WHO Director-General Dr. Tedros Adhanom Ghebreyesus released a statement on the report on the Meeting of the IHR Emergency Committee regarding the multi-country monkeypox outbreak this week, writing:

I am deeply concerned by the spread of monkeypox, which has now been identified in more than 50 countries, across five WHO regions, with 3000 cases since early May. The Emergency Committee shared serious concerns about the scale and speed of the current outbreak, noted many unknowns, gaps in current data and prepared a consensus report that reflects differing views amongst the Committee. Overall, in the report, they advised me that at this moment the event does not constitute a Public Health Emergency of International Concern, which is the highest level of alert WHO can issue, but recognized that the convening of the committee itself reflects the increasing concern about the international spread of monkeypox. They expressed their availability to be reconvened as appropriate.

The Director-General also expressed concern about current monkeypox outbreaks spreading into children and pregnant women, stating “We are starting to see this with several children already infected.”

Days later, the US announced a new vaccine strategy for monkeypox in the US, with phase one focusing on “rapidly scaling up the delivery of monkeypox vaccines and targeting at-risk groups with vaccination.” According to CIDRAP, this plan will see 296,000 doses of the Jynneos vaccine made available this month, with 56,000 being allocated immediately. In the coming months, 1.6 million additional doses will be made available, according to the Biden administration, being distributed equally among states.

Select Subcommittee On the Coronavirus Crisis Meets

The US Select Subcommittee on the Coronavirus, chaired by Rep. James E. Clyburn, met last week to discuss the Trump administration’s response to COVID-19. This was following the release of the subcommittee’s first report investigating the administration’s political interference with the federal COVID-19 response. Dr. Deborah Birx, former White House Coronavirus Response Coordinator, testified before the committee during a hearing, in which she stated that “dangerous ideas” undermined the administration’s response while also discussing failures in communication, ignoring of guidance, and more. Dr. Birx’s full transcribed interview and emails uncovered over the course of the investigation, including those indicating that senior White House officials believed case identification would damage the president’s reputation, can also be found on the subcommittee’s website.

A Decade of CRISPR

A decade ago this week, Jinek et al. published “A Programmable Dual-RNA–Guided DNA Endonuclease in Adaptive Bacterial Immunity” in Science and, while the paper initially received lackluster attention, it soon opened numerous doors for scientific advancement and won Doudna and Charpentier the 2020 Nobel Prize for chemistry. However, it is not without serious ethical and biodefense questions and concerns that, as The New York Times explained this week, are becoming more important than ever. One of these questions is how this technology can be used to alter human embryos, which became much more pressing when following He Jiankui’s 2018 experiment in which he edited a gene in three embryos to make them HIV-resistant. The embryos were later implanted in three women in Shenzhen and it was announced in 2019 that He and two of his collaborators were found guilty of “illegal medical practices”.

For more on the security risks of CRISPR and He’s experiment, check out Dr. Sonia Ben Ouagrham-Gormley’s award winning article, “From CRISPR Babies to Super Soldiers: Challenges and Security Threats Posed by CRISPR,” in The Nonproliferation Review.

“Examining North Korea’s COVID-19 Data: A Curious Case Study”

Martyn Williams, writing for the Stimson Center’s 38 North, does a deep dive on COVID-19 in North Korea in this piece, helping shine some light on several burning questions, including the almost impossible official death count. He discusses a number of potential reasons for this, including deliberate misinformation, and discusses how it appears even North Koreans themselves are suspicious of these numbers, writing “Just as foreign analysts have questioned the figures and unusually low fatality rate, so it appears are North Koreans. On June 9, state media reported work was underway to “enhance the scientific accuracy, promptness and credibility of medical checkups, tests and treatment,” suggesting internal questioning of the numbers as well.”

Trust and Verify No. 170, Summer 2022 Released

VERTIC’s summer 2022 edition of Trust and Verify was recently released, featuring articles ranging from several discussing issues arising from the Russo-Ukraine war to others like the first meeting of states parties for the TPNW to a prosecution in Germany for a CW-related offense. An article on the role of women in the BWC and its enforcement is also featured.

“Roundtable – The Biological Weapons Convention at 50: Still Seeking Verification AFter 50 Years…”

In this piece featured by the American Political Science Association, Dr. Jean Pascal Zanders discusses historical challenges that prevented establishment of verification tools under the BWTC, taking readers through different periods of the treaty’s history and discussing the power of norms embedded in the treaty.

“One Health: A New Definition for a Sustainable and Healthy Future”

This PLOS Pathogens article features the One Health High-Level Expert Panel discussing how COVID-19 has highlighted the need for a One Health approach to outbreak response. They explain:

The Severe Acute Respiratory Syndrome Coronavirus 2 (SARS-CoV-2) pandemic once more demonstrated the close connection between humans, animals, and the shared environment. Although still under investigation, the closest relatives of this virus exist in animals, and the factors leading to spillover remain to be fully understood. This interconnectedness again highlighted the need for a One Health approach. Although the One Health concept is not new and has been at the forefront of interdisciplinary and multisectoral discussions for years, there is now an increased interest for this approach to be applied and translated into action. Following a proposal made by the French and German Ministers for Foreign Affairs at the November 2020 Paris Peace Forum, 4 global partners, the Food and Agriculture Organization (FAO), the World Organization for Animal Health (OIE), the United Nations Environment Programme (UNEP), and the World Health Organization (WHO), in May 2021 established the interdisciplinary One Health High-Level Expert Panel (OHHLEP) (https://www.who.int/groups/one-health-high-level-expert-panel) to enhance their cross-sectoral collaboration. The creation of OHHLEP represents a recognition at the highest level of the urgency and complexities surrounding One Health and the intent to take this concept forward into policies and concrete actions.

New NCT Magazine Edition Issue on Biological Threats

June’s edition of NCT Magazine features “pieces by renowned professionals from the US and Europe that wish to share their views on the likelihood of biological threats as a result of modern synthetic biology tools. As in all disciplines, these members from the academia and first responders are a diverse group and they hold different views on SynBio,” in an effort to enrich discourse on the topic.

“Adding Novichok Nerve Agents to the CWC Annex on Chemicals: a Technical Fix and Its Implications for the Chemical Weapons Prohibition Regime”

Alexander Kelle’s recent work published by UNIDIR “discusses and analyses the use of a novichok nerve agent in the United Kingdom in March 2018. This triggered a political process at the Organisation for the Prohibition of Chemical Weapons (OPCW) that led to the amendment of the CWC schedules. It provides a factual overview of the scientific discussion around the novichok class of chemical agents, and how this has changed since the amendment of the CWC schedules was adopted. Against the background of the cases where nerve agents have been used for political assassination, the report concludes with a discussion of implications of the schedule amendments for compliance with, and implementation of, the chemical weapons prohibition regime.”

This report features our own Dr. Koblentz’s work with Dr. Stefano Costanzi on Novichok agents, “Novichok Agents: Further Amending the Chemical Weapons Convention Schedules and the Australia Group Precursors List after the Navalny Incident”.

“Public Comment on Oligo Synthesis Screening”

The Engineering Biology Research Consortium has published its comments in response to a request by HHS ASPR for comments on the Screening Framework Guidance for Providers and Users of Synthetic Oligonucleotides. EBRC convened a two-day workshop with stakeholders from academia, industry, and government to consider the Guidance, and the discussions that ensued formed the basis for this response.

TEXGHS: Monkeypox and the Western Media’s Portrayal of Infectious Disease

Join TEXGHS for their free monthly lecture series, featuring public health physician & global health thought leader Dr. Ifeanyi Nsofor on July 12 at 12 pm CDT. Global health is colonial in its origin. This colonial nature is reflected in skewed leadership of global health organizations favoring the global north. It is also reflected in the way some western media outlets paint the African continent: as a disease-ridden continent (or country) incapable of helping itself. This bias reporting must stop in the interest of both global north and global south.

Russian WMD Disinformation Resources

We are currently working on creating a searchable collection of resources on Russian WMD disinformation on the Pandora Report site. The page is a work in progress, and currently just lists resources we have highlighted in the past. In the meantime, here are some recent updates and works on the topic:

“Russian Disinformation Finds Fertile Ground in the West”

Ilya Yablokov’s June article in Nature Human Behaviour discusses potential methods for tackling Russian disinformation in the West. 

Recording- The History and Future of Planetary Threats | Biological Risks and Hazards in the World Today- with Special Focus on Russia and Ukraine

A panel of experts, including our own Dr. Gregory Koblentz, discussed evolving biological risks, the health security environment in post-Soviet states, and the biological risks posed by Russia’s invasion of Ukraine- including those associated with Russia’s disinformation campaign at this event in May! Access the event recording here.

“A Perspective on Russian Cyberattacks and Disinformation”

Glenn Gerstell, a senior advisor at the Center for Strategic and International Studies and former general counsel of the National Security Agency, was interviewed at a Wall Street Journal event in San Francisco in front of a live audience. The discussion focused on Russian cyberattacks against Ukraine and Russia’s use of disinformation. Highlights of the discussion are available here.

“Fact Sheet on WMD Threat Reduction Efforts with Ukraine, Russia and Other Former Soviet Union Countries”

The Department of Defense recently released this fact sheet covering the history and accomplishments of US collaboration with the international community to reduce WMD threats in Ukraine, Russia, and other countries who were formerly part of the USSR. It provides a comprehensive yet concise timeline of efforts, including the Nunn-Lugar CTR program, and discusses efforts by Russia and China to undermine these immense accomplishments today to further their agendas.

Schar School Applications Open- Deadline July 15

The Biodefense program is accepting Fall 2022 applications for our MS and graduate certificate program through July 15. Learn more about our admissions process and apply here.

Pandora Report: 6.24.2022

Happy Friday! This week we cover new reporting on Russian disinformation campaigns, including those it backs in Syria and a new Microsoft report discussing Russia’s cyber strategy. We also discuss the WHO’s emergency meeting to discuss declaring monkepox a public health emergency of international concern, the winners of NTI’s next gen biosecurity competition, and a new resource from the One Health Commission.

WHO Considering Declaring Monkeypox a PHEIC, Vaccination and Testing Expands

WHO Director General Dr. Tedros Adhanom Ghebreyesus convened an Emergency Committee under Article 48 of the International Health Regulations in relation to the current outbreak of monkeypox virus yesterday (June 23). The goals of this meeting were to provide opinions to the Director General on whether the event constitutes a public health emergency of international concern (PHEIC) and also on proposed potential Temporary Recommendations. While we have not heard their findings and decision yet, some critics argue that the WHO’s choice to wait and act only after the disease spread in the West “could entrench the grotesque inequities that arose between rich and poor countries during the coronavirus pandemic.” Furthermore, some have cast doubt that a PHEIC declaration would matter much since developed countries seeing outbreaks are moving quickly to contain them.

This comes as the US CDC is reporting they have evidence of local transmission of monkeypox, including through family members sharing things like bedding and towels. The Biden administration announced this week that it is authorizing commercial laboratories to conduct monkeypox tests in an effort to quickly grow testing capacity. The US is currently reporting 172 cases, with 48 of those in California, while the UK’s count continues to climb, currently sitting at 793. Globally as of Wednesday, 42 countries reported cases totaling 3,308, with the UK, Germany, and Spain having the most confirmed cases currently.

Orders for smallpox vaccines have skyrocketed as a result, with the European Health Emergency Preparedness and Response Authority having purchased 110,000 doses for 27 EU countries and the US ordering half a million doses just this month. Bavarian Nordic’s Vice President Rolf Sass Sorensen has said he is confident his company can keep up with global command even though they were caught by surprise with the sudden outbreak. The US stockpile has 36,000 doses of the Jynneos vaccine, more than 100 million of ACAM2000, and Bavarian Nordic holds 1 million US-owned doses. New York City became the first major US city to begin offering smallpox vaccines to people at-risk of contracting monkeypox this week with the city representing about 14% of the national case count.

However, not all are confident in the United States’ ability to handle this or other future health crises. This week, the Commonwealth Fund Commission on a National Public Health System released a report in which experts described the various inadequacies and inequities of the United States’ response to COVID-19. Among other things, the panel recommends the “creation of a new national public health system” to better help address crises. The New York Times explains that “While other countries have centralized public health authorities, public health in the United States is largely managed at the state and local level. The Centers for Disease Control and Prevention, the federal public health agency, does not have the authority to compel states to act — it cannot, for example, investigate outbreaks of infectious disease in a particular state unless it has an invitation from state officials to do so.” Their proposed system would be overseen by an Undersecretary for Public Health in the US Department of Health and Human Services, who would be responsible for coordinating the work of over a dozen federal agencies who have some role in public health.

In related news, the Senate Committee on Health, Education, Labor, and Pensions passed the bipartisan Murray-Burr PREVENT Pandemics Act with a 20-2 vote. The Murray-Burr bill combines numerous prior efforts to, among several other things, “Ensure the CDC’s Accountability and Leadership by Requiring a Senate-confirmed CDC Director and an Agency-wide Strategic Plan.” This is a move some caution will only further harm the CDC, with GOP-backed efforts to make the CDC Director position a senate-confirmed one late last year sparking controversy. The CDC and its current director, Dr. Rochelle Walensky, have caught much flack in recent years, with a recent internal probe at the agency finding serious deficiencies in the organization’s culture and responsiveness to public health threats.

Winners of 2022 Next Generation for Biosecurity Competition Announced

In better news, the Nuclear Threat Initiative and its partners recently announced the winners of their annual biosecurity competition – Nicholas Cropper, Shrestha Rath, and Ryan Teo – and their paper, “Creating a Verification Protocol for the Biological Weapons Convention: A Modular-Incremental Approach.” The second place team’s paper, “Leveraging Advances in Biotechnology to Strengthen Biological Weapons Convention Verification Protocols,” was also announced. Biodefense program alumnus Dr. Yong-Bee Lim and program director Dr. Gregory Koblentz were on the international panel of judges as well.

“Defending Ukraine: Early Lessons from the Cyber War”

Microsoft’s new report discussing Russia’s cyber strategy and how it has played out during the invasion of Ukraine was released this week. It devotes much attention to how effective Russia’s disinformation campaign has been, including the spread of disinformation regarding US-supported biological research facilities in Ukraine. It reads in part, “The Russian invasion relies in part on a cyber strategy that includes at least three distinct and sometimes coordinated efforts—destructive cyberattacks within Ukraine, network penetration and espionage outside Ukraine, and cyber influence operations targeting people around the world. This report provides an update and analysis on each of these areas and the coordination among them. It also offers ideas about how to better counter these threats in this war and beyond, with new opportunities for governments and the private sector to work better together.” It offers five conclusions, including that “…defense against a military invasion now requires for most countries the ability to disburse and distribute digital operations and data assets across borders and into other countries,” and “…the lessons from Ukraine call for a coordinated and comprehensive strategy to strengthen defenses against the full range of cyber destructive, espionage, and influence operations.”

“Deadly Disinformation: How Online Conspiracies About Syria Cause Real-World Harm”

The Syria Campaign, supported by Friedrich-Ebert-Stiftung and using ISD research, recently released this report on a disinformation network coordinated by a Russian campaign targeting the White Helmets and spreading disinformation about the Syrian conflict – including “the denial or distortion of facts about the Syrian regime’s use of chemical weapons and on attacking the findings of the world’s foremost chemical weapons watchdog.” The Guardian explains that “The White Helmets became a target of Russian ire after documenting incidents such as the chemical attack on Khan Sheikhoun in 2017, which killed 92 people, a third of them children. A UN unit later concluded there were “reasonable grounds to believe that Syrian forces dropped a bomb dispersing sarin” on the town in Idlib province.” The report also finds that Russian official government accounts, including those of the Russian embassies to the UK and Syria, played a central role in creating and spreading false content. The report finds that “Of the 47,000 disinformation tweets sent by the core of 28 conspiracy theorists over seven years from 2015 to 2021, 19,000 were original posts, which were retweeted more than 671,000 times.”

What We’re Listening To- Poisons and Pestilence Podcast

The University of Bath’s Dr. Brett Edwards’ podcast, Poisons and Pestilence, recently released a bonus episode episode focused on the Polish resistance movement’s use of CBW during World War II. After a great first season that included “Episode 2: Hittite me Plaguey one more time”, Dr. Edwards announced a second season “looking at poison arrows, toxic smoke, water poisoning and the laws of war from the 13th to the 18th century.” Be sure to give this podcast a listen and follow!

Virtual Stakeholder Engagement Meeting on USG Policies for the Oversight of Life Sciences Dual Use Research of Concern

The purpose of this meeting is to gather feedback from stakeholders about their experiences implementing these policies, the effect of these policies in terms of achieving their stated goals, the overarching definition of DURC, and possible alternative approaches for the oversight and responsible conduct of DURC. This feedback will also be used to inform the discussions of the National Science Advisory Board for Biosecurity (NSABB) in fulfillment their current charge to evaluate and analyze the DURC policies. It will be held on June 29, 2022 at 12 pm ET. Registration is not required to attend. Find the webcast link and more information here.

Recording- The History and Future of Planetary Threats | Biological Risks and Hazards in the World Today- with Special Focus on Russia and Ukraine

A panel of experts, including our own Dr. Gregory Koblentz, discussed evolving biological risks, the health security environment in post-Soviet states, and the biological risks posed by Russia’s invasion of Ukraine- including those associated with Russia’s disinformation campaign at this event in May! Access the event recording here.

One Health Commission Launches One Health Tools and Toolkits Compilation Page

“Many governmental agencies, NGOs, academic institutions, and other organizations have created a diverse array of One Health (OH) tools and toolkits to help OH practitioners and lifelong learners integrate health operations & monitoring across societal sectors and geographic boundaries. They aid in health systems management, disease surveillance, research, learning, and much more.

Since 2019, the One Health Commission has been compiling these toolkits to characterize the increasing operationalization of OH worldwide. The webpage listing of these resources is now available to the world: https://tinyurl.com/OHC-OH-Toolkits

Russian WMD Disinformation Resources

We are currently working on creating a searchable collection of resources on Russian WMD disinformation on the Pandora Report site. The page is a work in progress, and currently just lists resources we have highlighted in the past. In the meantime, here are some recent updates and works on the topic:

“A Perspective on Russian Cyberattacks and Disinformation”

Glenn Gerstell, a senior advisor at the Center for Strategic and International Studies and former general counsel of the National Security Agency, was interviewed at a Wall Street Journal event in San Francisco in front of a live audience. The discussion focused on Russian cyberattacks against Ukraine and Russia’s use of disinformation. Highlights of the discussion are available here.

“Fact Sheet on WMD Threat Reduction Efforts with Ukraine, Russia and Other Former Soviet Union Countries”

The Department of Defense recently released this fact sheet covering the history and accomplishments of US collaboration with the international community to reduce WMD threats in Ukraine, Russia, and other countries who were formerly part of the USSR. It provides a comprehensive yet concise timeline of efforts, including the Nunn-Lugar CTR program, and discusses efforts by Russia and China to undermine these immense accomplishments today to further their agendas.

Schar School Applications Open- Deadline July 15

The Biodefense program is accepting Fall 2022 applications for our MS and graduate certificate program through July 15. Learn more about our admissions process and apply here.

Pandora Report: 6.17.2022

Monkeypox, plague, and COVID-19-Oh my! We have another mixed bag this week, covering the WHO’s formation of an external committee to help determine if monkeypox is a PHEIC, new research that helps determine the Black Death’s origin, INTERPOL’s collaboration with the WOAH, and the US Government’s new MOU on public health emergency testing capacity. As always, we round out the week with new publications, upcoming events, and announcements. Finally, we wish everyone a meaningful Juneteenth holiday weekend, as the US observes its newest federal holiday this Sunday.

No More Monkeying Around- WHO to Convene Emergency Committee on Monkeypox Spread

This Tuesday, the WHO announced it will convene a meeting next week of external experts to help the organization determine if the current spread of monkeypox is a public health emergency of international concern (PHEIC). As of June 16, 37 countries where the disease is not endemic are reporting outbreaks, with confirmed cases breaking 2,100 globally. These are mostly in Europe, with the UK reporting 524 confirmed cases, followed by Spain at 313, Germany at 305, Portugal at 241, and France at 183. Canada is reporting 159 cases and the US currently sits at 99.

This casts a dark shade over ongoing Pride celebrations for some, as many caution that the virus’s spread primarily in men who have sex with men echoes the spread of HIV/AIDS in the 1980s. Montreal announced this week that the city would expand its monkeypox vaccination campaign to all men who have sex with men, calling the city the “epicentre of the North American monkeypox outbreak.” As the diseases spreads in New York City, officials are cautioning the public to “Be aware, but don’t panic.” Sharon Otterman wrote in The New York Times that, “Grindr, the social networking app, sent a pop-up message about the risk of monkeypox to millions of European and American users. A sex party organizer in New York asked invitees to check themselves for lesions before showing up. And the organizers of the city’s main Pride celebrations posted a monkeypox notice Sunday on their Instagram account.”

The WHO’s monkeypox page is available here and is routinely updated with new guidance, press releases, and fact sheets. The US CDC’s global case tracker is available here and the US map and case count is available here.

The Black Death’s Origin Solved?

New research published in Nature this week identifies the origin of the infamous Black Death that killed an estimated 30-60% of all Europeans in the mid-14th century. Spyrou et al.’s article, “The Source of the Black Death in Fourteenth-Century Central Eurasia,” uses DNA data from seven people exhumed at two cemeteries located near Lake Issyk-Kul in modern Kyrgyzstan to shine light on this enduring debate. Ian Sample explains how the team came to focus on this location in The Guardian, writing “The international team came together to work on the puzzle when Dr Philip Slavin, a historian at the University of Stirling, discovered evidence for a sudden surge in deaths in the late 1330s at two cemeteries near Lake Issyk-Kul in the north of modern-day Kyrgyzstan. Among 467 tombstones dated between 1248 and 1345, Slavin traced a huge increase in deaths, with 118 stones dated 1338 or 1339. Inscriptions on some of the tombstones mentioned the cause of death as “mawtānā”, the Syriac language term for “pestilence”.”

Researchers at Germany’s University of Tübingen extracted DNA from these individuals’ teeth, finding that three of them contained Y. pestis. The bacteria’s genome was determined to be a “…direct ancestor of the strain that caused the Black Death in Europe eight years later and, as a result, was probably the cause of death for more than half the population on the continent in the next decade or so.” This determination also helps settle historians’ debate over whether the Black Death spread into Europe via Eurasian trade routes or Mongol military actions in the early 13th century, as Gina Kolata explains in The New York Times.

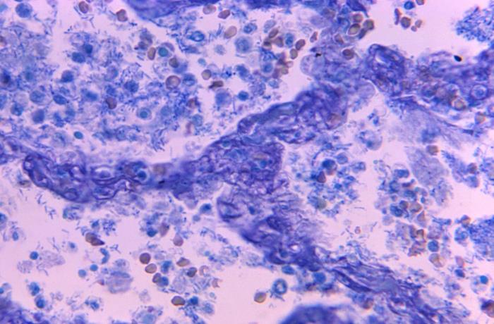
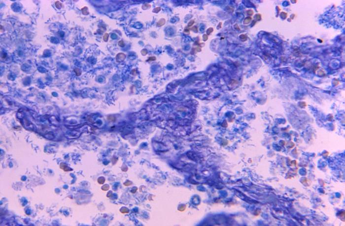
“Under a magnification of 500X, this photomicrograph of a Giemsa-stained lung tissue sample, harvested from a Pecos, New Mexico patient with secondary plague pneumonia, revealed the histopathologic findings that resulted from this illness. Note the presence of numerous, Yersinia pestis bacteria, which exhibited characteristic pleomorphism. In this view, the exudate was scant, though it did harbor the most abundant quantity of plague organisms.” Source: CDC Public Health Image Library, Dr. H.E. Stark

World Organisation for Animal Health Partnering with INTERPOL to Prevent Biocrimes

The World Organisation for Animal Health (WOAH) and INTERPOL (the International Criminal Police Organization) are partnering together to collaborate on building global preparedness and countering biocrimes and bioterrorism. This approach will see improved understanding between veterinary services and law enforcement, which is critical given the world’s current challenges. For example, INTERPOL’s website identifies several crimes as being linked to animal disease and able to harm human populations, including sales of falsified products, animal cruelty and abuse, agroterrorism, food fraud, non compliance, illicit wildlife use, smuggling, and poaching. To learn more about this collaboration, check out this interview with Fanny Ewann, Specialized Officer in INTERPOL’s Bioterrorism Prevention Unit, discussing what constitutes and biothreat, the agroterrorism risk today, and how INTERPOL, WOAH, and the Food and Agriculture Organization of the United Nations are working together to help improve collaboration between veterinary and law enforcement organizations. If you would like a re-fresher and brief history of the differences between biocrime, bioterrorism, and biowarfare, check out Oliverira et al.’s work discussing it here.

New MOU for Diagnostic Surge Testing Capacity for Public Health Emergencies Released

The US FDA, CDC, and several other stakeholders signed and released a memorandum of understanding earlier this month on enhancing lab testing capacity outside of CDC and public health laboratories before and during public health emergencies. After the US failed to build-up testing capacity rapidly in the early days of the pandemic, it became clear that many changes in regulatory policies are needed in order for this to not happen next time. The MOU reads in part:

The capability and capacity of PHLs was utilized during several outbreaks, including Anthrax 2001, the response to the Middle East Respiratory Syndrome, and Ebola outbreaks. However, public health laboratory systems are not currently designed to handle and execute diagnostic testing at a large scale and scope beyond the initial critical phases of public health emergencies. Furthermore, in the early phase of an emergency response, FDA-authorized tests and testing platforms may be inherently limited and may not be optimized for high throughput. The need to supplement public health laboratory diagnostic testing capacity has been demonstrated in previous virus outbreaks. At the advent of the H1N1 influenza virus outbreak, hospital- based clinical laboratories responded rapidly and effectively and the need for a coordinated and streamlined response from both public health and clinical diagnostic laboratories became apparent. The Zika virus outbreak resulted in the engagement of large independent laboratories with nationwide facilities. At the same time, hospital-based laboratories served the diagnostic needs of their patient populations. Most recently, the extensive demands for diagnostic testing during the coronavirus disease (COVID-19) pandemic quickly extended beyond public health laboratories and independent laboratories to other Clinical Laboratory Improvement Amendments (CLIA) certified testing facility types.

The Biden administration is also expected to release a revised National Biodefense Strategy as early as this month, signaling that some major pitfalls may start to be addressed in the United States’ biodefense game plan.

Summary of Expert Insights for the US Department of Defense Biodefense Posture Review Meeting

The Johns Hopkins Center for Health Security recently released this report discussing expert input on the Department of Defense’s first Biodefense Posture Review, including that of our own Dr. Gregory Koblentz. The Center writes that, “During the meeting, a variety of participants discussed two recurring recommendations:

  1. The DoD, and the nation, would benefit from organizational realignment so that one person or office is responsible for biodefense policy across the DoD. This would help the Department to plan, build resources, and engage experts. Current efforts that shift responsibilities depending upon the nature of the health security crisis—for example if it is deliberate or natural, outside the contiguous US (OCONUS) or domestic—inhibit coherent planning.
  2. Disinformation is a threat in all aspects of the biodefense posture, ranging from operational restrictions to reputational impacts on the United States. The DoD should routinely consider how its statements and actions can both enable and counter disinformation and take steps to minimize impact. Also, DoD should consider using its communications abilities to dissuade other nations from developing biological weapons.”

“Public Health Preparedness: Medical Countermeasure Development for Certain Serious or Life-Threatening Conditions”

The US Government Accountability Office released this new report this week discussing MCM development and the Food and Drug Administration’s Animal Rule, implemented in 2002 to guide animal efficacy studies when human clinical trials are not ethical or feasible. GAO writes, “We found that FDA has provided guidance to support development of medical countermeasures under the rule, such as by clarifying the types of data needed to demonstrate product efficacy. FDA has approved 16 medical countermeasures under this rule.”

“Back to the Future for Verification in the Biological Disarmament Regime?”

The UN Institute for Disarmament Research recently released this report from Revill, Borrie, and Lennane. They write, “Twenty years after the termination of the Biological and Toxin Weapons Convention (BWC) Ad Hoc Group negotiations, the notion of adopting a BWC verification protocol is now almost an article of faith among some States Parties to the Convention. Yet it is clear that in 2001, the work of the Ad Hoc Group was a long way from agreement around a robust regime capable of ensuring confidence in compliance with the BWC’s prohibitions. Moreover, if there are some elements of continuity in the biosecurity sphere since then, much has also changed – geopolitically, technologically and economically. These changes generate challenges as well as opportunities to strengthen the BWC, which remains a central multilaterally-agreed component of a much wider set of measures that have emerged over the last two decades to prevent the hostile use of biology and manage the challenge of dual use biology around the globe. This report looks at these changes and identifies areas to move forward.”

“Lack of Access to Medicine is a Major Driver of Drug Resistance. How Can Pharma Take Action?”

The Antimicrobial Resistance Research Programme recently released this new report on antimicrobial resistance’s global rise. They write, “Antimicrobial resistance (AMR) is rising faster than expected. Worldwide, more than one million people die of AMR each year, most of them in low- and middle-income countries (LMICs). Resistant infections can rapidly spread without appropriate access to essential antibiotics and antifungals. Yet, the issue of responsibly providing access for people living in resource-poor settings has been largely overlooked. Pharmaceutical companies are only using a limited number of the opportunities that exist to expand access in poorer nations, resulting in significant gaps. This study sets out how companies and their partners are using a combination of access strategies to cut through the complexity and address access at a local level.”

“The Pig as an Amplifying Host for New and Emerging Zoonotic Viruses”

McLean and Graham’s new article in One Health discusses how the growth of pig demand and changes in pig husbandry practices have led to an environment that is conducive to increased emergence and spread of infectious diseases from swine populations. They write, “These include a number of zoonotic viruses including influenza, Japanese encephalitis, Nipah and coronaviruses. Pigs are known to independently facilitate the creation of novel reassortant influenza A virus strains, capable of causing pandemics. Moreover, pigs play a role in the amplification of Japanese encephalitis virus, transmitted by mosquito vectors found in areas inhabited by over half the world’s human population. Furthermore, pigs acted as an amplifying host in the first and still most severe outbreak of Nipah virus in Malaysia, that necessitated the culling over 1 million pigs. Finally, novel porcine coronaviruses are being discovered in high pig-density countries which have pandemic potential. In this review, we discuss the role that pigs play as intermediate/amplifying hosts for zoonotic viruses with pandemic potential and consider how multivalent vaccination of pigs could in turn safeguard human health.”

Book Talk- Biocrisis: Defining Biological Threats in US Policy

Al Mauroni, current Director of the US Air Force Center for Strategic Deterrence Studies, will be giving a book talk at the Center for Nonproliferation Studies in DC on June 21 at 10 am EST. How should the US government address biological threats today? In Biocrisis: Defining Biological Threats in US Policy, Al Mauroni provides a timely analysis of US policy on the intersection of national security and public health. He explores disease prevention, bioterrorism response, military biodefense, biosurety, and agricultural biosecurity and food safety, and proposes a new approach to countering biological threats. Learn more about the event and register here.

Reframing Vaccine Diplomacy amid Strategic Competition: Lessons from COVID-19

The Wilson Center is offering this panel event on June 23 at 10 am ET via webcast. Learn more and RSVP here. Addressing continuity and change in different actors’ global health policies over time, this panel will try to explore new strategies for vaccine diplomacy while sharing the perspective of less represented voices in health diplomacy. What lessons can be learned from the competitive nature of COVID-19 vaccine diplomacy to better understand the power and struggle of competition in the global health domain? What hidden layers of great power competition, diplomacy, philanthropy, and regional and national dynamics were revealed? How should new multilateral and bilateral phenomena of vaccine cooperation inform the global health policy making and international relations?

Schar School Applications Open- Deadline July 15

The Biodefense program is accepting Fall 2022 applications for our MS and graduate certificate program through July 15. Learn more about our admissions process and apply here.

Disarmament and Non-Proliferation of WMD 2022 Training Programme

The OPCW and Asser Institute are offering this training program September 19-23 in The Hague. The preliminary program is available here and includes information and discussion sessions on core WMD topics and contemporary policy issues offered by world-renowned experts in the field. There will also be networking opportunities. Registration is open and there are scholarships available. Scholarship applications are due by July 4, 2022.

Russian WMD Disinformation Resources

We are currently working on creating a searchable collection of resources on Russian WMD disinformation on the Pandora Report site. The page is a work in progress, and currently just lists resources we have highlighted in the past. In the meantime, here are some recent updates and works on the topic:

“The Pentagon Didn’t ‘Admit’ That There are 46 US-Funded Biolabs in Ukraine”

PolitiFact recently posted this debunking referencing the factsheet we added last week after internet users ran wild (again) with its discussion of CTR-supported facilities.

“Fact Sheet on WMD Threat Reduction Efforts with Ukraine, Russia and Other Former Soviet Union Countries”

The Department of Defense recently released this fact sheet covering the history and accomplishments of US collaboration with the international community to reduce WMD threats in Ukraine, Russia, and other countries who were formerly part of the USSR. It provides a comprehensive yet concise timeline of efforts, including the Nunn-Lugar CTR program, and discusses efforts by Russia and China to undermine these immense accomplishments today to further their agendas.

Pandora Report: 6.10.2022

This week we cover updates on monkeypox, including the CDC’s Level 2 travel alert, and the conviction of Harry Johannes Knoesen, a South African extremist who was interested in using BW to infect and kill Black people to “reclaim South Africa for white people.” A number of new publications are included, including recent work from a Biodefense PhD Program alumnus and FEMA’s updated guidance for nuclear detonation response. Events and announcements are included at the end, including an upcoming book talk from Al Mauroni and a professional development opportunity offered by the OPCW.

Monkeypox Updates

Monkeypox continues to spread in non-endemic countries, with Oahu, HI announcing a third probable case yesterday as the US total sits at 44 cases. As of June 7, 29 countries reported a total of 1,088 cases, with the UK reporting a whopping 321 cases nationwide. The CDC also raised the travel alert to Level 2 for monkeypox, recommending “enhanced precautions” while traveling, but walking back prior advice to begin masking in response to this specific concern. CIDRAP writes, “The enhanced precautions include avoiding contact with sick people, including genital contact, avoiding contact with dead or live animals, and avoiding contact with contaminated materials, such as bedding.” Cases are still mostly in men who have sex with men, prompting many to express concern that the failures and horrors of the mismanagement of the HIV/AIDS crisis will be repeated. There are also concerns that the strategy the US has in place for testing is creating a bottleneck and is wasting precious time in getting the outbreak managed before it becomes more serious. Information on global and country case counts can be found here on the CDC website.

Map depicting locations in the US with confirmed MPX cases. One individual in Florida tested positive while in the UK, which is what the asterisk denotes. Source: CDC

Leader of National Christian Resistance Movement Found Guilty of High Treason, Incitement to Carry Out Violent Attacks, and Recruiting People to Commit Attacks

Harry Johannes Knoesen was convicted by a South African court this week for his plot to overthrow the government and kill thousands of Black people in the country using a biological weapon. Knoesen, a pastor, and his group were interested in using a bioweapon to specifically infect and kill Black people. They entertained the idea of using water reservoirs that supply Black communities to do so, according to the prosecution. ABC News writes, “The plot by the pastor’s group was foiled in 2019 by South Africa’s police and intelligence services, who have since dismantled the organization’s cells across various parts of the country and arrested some of its leaders.” Knoesen was also found guilty of unlawful possession of firearms, and the state highlighted what it described as his religious belief that he was ordained to “reclaim South Africa for white people.” “To further this end, he planned to attack government institutions and more specifically police and military institutions,” Monica Nyuswa, a spokeswoman for the National Prosecuting Authority, told The Associated Press. Knoesen is set to return to court today (June 10) to begin sentencing.

This certainly was not the first plot of this nature in the country. ABC writes, “In 2013, 20 members of the right-wing white supremacy group known as the Boeremag were sentenced to prison for plotting to kill South Africa’s first Black president Nelson Mandela, overthrow the government and kill thousands of Black people.” However, it is noteworthy as an example of a non-state group expressing interest in BW to achieve its objectives.

“The Long, Cloudy History of Moscow’s BW Program”

Biodefense PhD Program alumnus, Dr. Glenn Cross, recently published this review article in The Nonproliferation Review. In it, he covers three of Anthony Rimmington’s books, Stalin’s Secret Weapon: The Origins of Soviet Biological Warfare (2018), The Soviet Union’s Invisible Weapons of Mass Destruction: Biopreparat’s Covert Biological Warfare Programme (2021), and The Soviet Union’s Agricultural Biowarfare Programme: Ploughshares to Swords (2021). Cross notes that the Soviet and, later, Russian BW programs were very much understudied by scholars until the early 1990s when two prominent Biopreparat researchers defected from the USSR. He also notes that, until Rimmington’s recent publications, the most recent scholarly works on this topic were from 2012, 2016, and 2018, highlighting the importance of fresh perspectives on this topic. While Cross notes many of Rimmington’s contributions to this area of study, he also calls attention to a few contradictions across the books and a pervasive challenge of unanswered questions in them. Most importantly, Cross notes that these books do not do much to answer the questions of what the purpose of the Soviet BW program was, which he explains is an increasingly relevant question today. He also points out that Cross relies heavily on secondary sources in Stalin’s Secret Weapon, though he does argue that he makes better use of Fedorov than other scholars have previously. Finally, despite these issues, Cross says Rimmington’s work does offer some value, particularly in their descriptions of Soviet BW facilities and in their identification of Soviet BW program leadership.

“Preliminary Report for the Scientific Advisory Group for the Origins of Novel Pathogens”

The WHO released the first preliminary report from the Scientific advisory group for the origins of novel pathogens (SAGO) this week. This report is part of SAGO’s ongoing work and includes background information on the group and its goals, preliminary recommendations for ensuring a global framework to study high-threat zoonotic pathogens and better understand SARS-CoV-2, and discussion of the group’s next steps. Their proposed future meeting topics include everything from “Further analysis of findings from studies pertaining to the Huanan market in Wuhan China and follow up on any identified leads,” to “Discussions about the studies needed to study the re-emergence of other high threat pathogens, e.g., monkeypox virus, MERS-CoV, arboviruses, Ebola virus.”

“Planning Guidance for Response to a Nuclear Detonation”

FEMA’s third edition of this guidance was released last month, having been developed by a federal interagency committee led by the FEMA CBRN Office with representatives from across the Departments of Homeland Security, Energy, Health and Human Service, and Defense plus the Environmental Protection Agency. This edition has been “…updated and expanded to provide guidance for a wider range of nuclear detonations, including larger detonations and air bursts. It also incorporates new research, best practices, and response resources. Additionally, this edition includes a new chapter on the Integrated Public Alert & Warning System (IPAWS), which enables state, local, tribal, and territorial (SLTT) officials to send warnings and key messages during the response.” It includes guidance ranging from providing acute medical care to population monitoring to communications and public preparedness.

“Diagnostic Accuracy of Non-Invasive Detection of SARS-CoV-2 Infection by Canine Olfaction”

Grandjean et al.’s new article in PLOS One discusses use of non-invasive detection of SARS-CoV-2 infection by canine olfaction as a possible alternative to nasopharyngeal RT-PCR. Their study compared detection using canine olfaction with NPS RT-PCR as the reference standard in addition to saliva RT-PCR and nasopharyngeal antigen testing in 335 ambulatory adults. Their findings indicate that overall sensitivity of canine detection was 97% with 91% specificity (94% in asymptomatic individuals) and that canine detection’s sensitivity was higher than that of nasopharyngeal antigen testing.

“The Lanzhou Brucella Leak: the Largest Laboratory Accident in the History of Infectious Diseases?”

Dr. Georgios Pappas’ new article in Clinical Infectious Diseases discusses the aerosolization and spread of Brucella in the summer of 2019 at a biopharmaceutical plant in Lanzhou, China. This accident resulted in more than 10,000 human cases of the disease by November 2020. Pappas writes, “The leak, possibly the largest laboratory accident in the history of infectious diseases, underlines the particular characteristics of Brucella that have made the pathogen a historical entity in biodefense research and a major cause of laboratory-associated infections. It further underlines the need for enhanced vigilance and strict regulatory interventions in similar facilities.”

“Dr. Delirium & the Edgewood Experiments”

Discovery+ released its newest documentary, “Dr. Delirium & the Edgewood Experiments” this week, covering the Army’s experiments during the Cold War to find CW agents that could incapacitate enemy troops without killing them. These experiments, conducted from 1955 to 1975, were done on over 7,000 US soldiers using over 250 agents at the Edgewood Arsenal in Maryland. The documentary relies heavily on interviews with veterans who participated in the experiments, in addition to a long-form interview with Dr. James Ketchum, who ran the psychochemical warfare program at Edgewood. The film does cover theories that Nazi scientists granted asylum through Operation Paperclip were involved with the Edgewood program, though it never actually makes the connection between these two. It also discusses the CIA’s interest in this and other programs. It has received generally positive reviews as well. Read more about the Edgewood Experiments here.

The Impossible State Podcast- COVID-19 in North Korea

In this episode of CSIS Korea Chair’s podcast, The Impossible State, Andrew Schwartz and Dr. Victor Cha are joined by Dr. J. Stephen Morrison to discuss the Covid-19 outbreak in North Korea, the impact of the pandemic on the unvaccinated country, and the road ahead amidst ongoing health and food crises worsened by an extreme lockdown.

Book Talk- Biocrisis: Defining Biological Threats in US Policy

Al Mauroni, current Director of the US Air Force Center for Strategic Deterrence Studies, will be giving a book talk at the Center for Nonproliferation Studies in DC on June 21 at 10 am EST. How should the US government address biological threats today? In Biocrisis: Defining Biological Threats in US Policy, Al Mauroni provides a timely analysis of US policy on the intersection of national security and public health. He explores disease prevention, bioterrorism response, military biodefense, biosurety, and agricultural biosecurity and food safety, and proposes a new approach to countering biological threats. Learn more about the event and register here.

Disarmament and Non-Proliferation of WMD 2022 Training Programme

The OPCW and Asser Institute are offering this training program September 19-23 in The Hague. The preliminary program is available here and includes information and discussion sessions on core WMD topics and contemporary policy issues offered by world-renowned experts in the field. There will also be networking opportunities. Registration is open and there are scholarships available. Scholarship applications are due by July 4, 2022.

New Global Health Security Agenda Consortium Website

GHSA’s new website is live at https://ghsacngs.org/. The consortium is “a voluntary and open collective of nongovernmental entities who are dedicated to promote values of collaboration, excellence, innovation, and commitment in implementing the Global Health Security Agenda and promoting the adherence of the International Health Regulations (IHRs) and the World Organization for Animal Health (OIE) Performance of Veterinary Services (PVS) Pathways, the Alliance for Country Assessments for Global Health Security and IHR Implementation, and the Biological Weapons Convention and United Nations Security Council Resolution 1540.” The new site features member profiles, plenty of resources, and a dedicated events page!

Russian WMD Disinformation Resources

We are currently working on creating a searchable collection of resources on Russian WMD disinformation on the Pandora Report site. The page is a work in progress, and currently just lists resources we have highlighted in the past. In the meantime, here are some recent updates and works on the topic:

“Fact Sheet on WMD Threat Reduction Efforts with Ukraine, Russia and Other Former Soviet Union Countries”

The Department of Defense recently released this fact sheet covering the history and accomplishments of US collaboration with the international community to reduce WMD threats in Ukraine, Russia, and other countries who were formerly part of the USSR. It provides a comprehensive yet concise timeline of efforts, including the Nunn-Lugar CTR program, and discusses efforts by Russia and China to undermine these immense accomplishments today to further their agendas.

Pandora Report: 6.3.2022

Happy Friday! This week we discuss some of the current concerns about the continued spread of monkeypox in non-endemic countries, the end of Aum Shinrikyo’s status as a foreign terrorist organization in the US, Shanghai’s lockdown, and the Office International des Epizooties’ rebranding. New reports from WHO, CRS, RAND, and more are listed as well as several upcoming events, including a multi-day conference focused on biodefense support to the warfighter and a webinar on COVID-19 in the DPRK with the Korea Economic Institute.

Monkeypox On the Move

Monkeypox continues to spread in non-endemic countries, attracting global media attention. However, monkeypox has been known for the last several decades and cases have been climbing in parts of West and Central Africa for years now. Monkeypox is endemic in 10 countries in Africa, with the DRC having seen 1,284 cases this year alone so far. As of May 26, the UK had the highest caseload in a non-endemic country at 106, hinting at the idea that this attention might be in part spurred by the fact that that the disease is spreading in Europe and North America.

Monkeypox spread in May 2022. Source: https://www.statista.com/chart/27537/countries-with-monkeypox-cases/

Recent works highlight the need to listen to those scientists in Africa who have experience with this virus as well as hopes we can learn from failures with COVID-19 and HIV. Many are concerned that the US and other Western countries will repeat their earlier COVID-19 and HIV outbreak response mistakes in disease surveillance and public communication while others worry experts with experience with this virus will be forgotten. Furthermore, as cases are mostly in men who have sex with men, there are valid concerns about how stigmas may play into global response to monkeypox. The CDC’s Dr. Demetre Daskalakis, Director of the Division of HIV/AIDS Prevention, said in a video, “I urge everyone to approach this outbreak without stigma and without discrimination.”

These developments have also renewed some conversations on the closely related, though much more deadly, smallpox and its remaining samples, including renewed calls to destroy the samples. While smallpox was declared eradicated in 1980, the US and Russia both maintain samples in secure facilities, and research with these samples requires approval from the WHO. There are also concerns and suspicions that there are other, unofficial samples elsewhere in Russia and in other countries used for BW research, complicating the entire matter.

Aum Shinrikyo Will No Longer Be Recognized As a Foreign Terrorist Organization

This week, the Department of State announced the revocation of five Foreign Terrorist Organization (FTO) designations under the Immigration and Nationality Act, including those of Basque Fatherland and Liberty, Aum Shinrikyo, Mujahidin Shura Council in the Environs of Jerusalem, Kahane Chai, and Gama’a al-Islamiyya. Aum Shinrikyo is infamous for the 1995 Tokyo subway attacks during which the group used sarin gas to kill over a dozen people and injure many more. Prior to the sarin attacks, the group attempted to use biological weapons, in what the Nuclear Threat Initiative has described as the “most extensive non-state biological weapons program unearthed to date.” This included a failed 1993 attack wherein the group attempted to release anthrax spores from atop a Tokyo office building, among other failures. Secretary of State Antony Blinken told lawmakers that the removal of the designation was the product of the administrative review that is required by law to occur every five years. NHK also reported that, “The department announced the revocation on Friday, saying the group is “no longer engaged in terrorism or terrorist activity” and does not retain “the capability and intent to do so.”

Shanghai Lockdown Ends

Shanghai’s lockdown of the city’s nearly 25 million people ended this week after 65 days, to much celebration across the area. While most in the city can now return to life as normal, the Chinese media appears to have been instructed to report on this without actually referring to ending the lockdown, according to the Guardian. The directive, leaked to California-based China Daily Times, reads in part:

1. Do not use the phrase “ending the lockdown.” Unlike Wuhan, Shanghai never declared a lockdown, so there is no “ending the lockdown.” All parts of Shanghai underwent static management-style suppression and suspensions, but the city’s core functions kept operating throughout this period. Emphasize that related measures were temporary, conditional, and limited. The resumption on June 1 will also be conditional: it is by no means the case that every person in every district across the whole city will be able to freely head out at once, nor that this is a uniform relaxation. Reports should not play up “comprehensive relaxation” or “comprehensive [return to] normality” ….

Furthermore, while Shanghai and other cities are ending their lockdowns, the Party still insists on sticking to its Zero COVID strategy, despite ongoing concerns about lack of access to quality vaccines and other issues challenging the strategy. This Monday, China’s National Health Commission reported just 97 cases in the country, again calling into question the reliability of their numbers. While the use of roundabout ways to describe the lockdown are not necessarily surprising, they again demonstrate that the Party remains committed to maintaining its narratives above all else.

Say “Hello” to the World Organisation for Animal Health

The Office International des Epizooties (more commonly known simply as OIE) has rebranded to the World Organisation for Animal Health (WOAH, or OMSA in French and Spanish for L’Organisation mondiale de la santé animale and Organización Mundial de Sanidad Animal respectively). The change is part of an effort to promote solutions which understand animal health as intrinsically linked to human health. Learn more about the change and WOAH’s future with this video from the organization.

“Towards a Global Guidance Framework for the Responsible Use of Life Sciences: Summary Report of Consultations on the Principles, Gaps and Challenges of Biorisk Management, May 2022”

This new summary report from the WHO discusses challenges in maintaining high scientific, safety, security and ethical standards in the life sciences. As a result of growing challenges and concerns in this area, WHO is developing a Global Guidance Framework for the Responsible Use of Life Sciences. As part of this process, WHO formed four working groups of experts, whose work and recommendations are summarized in this report. It includes a number of recommendations, including that universities and other research institutions “should promote a culture of biosafety and biosecurity in research environments at every stage of basic and applied life sciences,” and “publishers should promote and practise a culture of biorisk management in scientific publishing.” Biodefense Program Director Dr. Gregory Koblentz served on three of the four working groups included in the report.

“Oversight of Gain of Function Research with Pathogens: Issues for Congress”

Tom Kuiken, Science and Technology Policy Analyst at the Congressional Research Service, discusses core concepts and policy challenges surrounding gain of function (GOF) research in this report prepared for Congress in May. He focuses on the challenges of minimizing risks, optimizing outcomes, and addressing diverse stakeholder concerns throughout, writing “The general public is at the center of the GOF debate, with experts on each side invoking the public’s well-being as reasoning for their positions. Currently there is limited public engagement around GOF research on pathogens and the role the U.S. government has in its funding and oversight. When weighing options addressing these complex and intertwined policy issues, Congress may have to balance competing and, in some instances, conflicting national and international priorities.”

BARDA Strategic Plan, 2022-2026

The Biomedical Advanced Research and Development Authority’s newest strategic plan was recently released, covering years 2022 through 2026. This five year plan focuses on improvement goals in four areas-preparedness, response, partnerships, and workforce. It pays particular attention to developing strong, multi-purpose medical countermeasures to improve pandemic response and creating more flexible partnerships across sectors to do so.

“COVID-19 Impact on Antimicrobial Stewardship: Consequences and Silver Linings”

Zhou et al.’s article in Contagion Live discusses both the positive and negative impacts the COVID-19 pandemic has had on antimicrobial stewardship programs. They discuss negatives in the context of burnout and overuse of antimicrobials throughout the pandemic. However, they also note this situation has brought more attention to antimicrobial stewardship experts while strengthening multidisciplinary work, both of which are clear positive outcomes.

“Countering Weapons of Mass Destruction: DHS Could Improve Its Acquisition of Key Technology and Coordination With Partners”

This April report from the Government Accountability Office discusses the more than three years of delays the Department of Homeland Security has endured in trying to acquire new radiation portal monitors. GAO writes, “The Department of Homeland Security works with federal, state, and local partners to combat chemical, biological, radiological, and nuclear threats. As part of these efforts, DHS is replacing radiation portal monitors that scan cargo at U.S. ports. The new monitors were intended to reduce nuisance alarms from naturally occurring radiation in consumer goods—reducing unnecessary delays. But, the new monitors have been delayed by more than 3 years, and those being tested have higher nuisance alarm rates than monitors currently in use at ports. We recommended that DHS reassess its acquisition strategy for radiation portal monitors.”

“Implication of the Pandemic for Terrorist Interest in Biological Weapons: Islamic State and al-Qaeda Pandemic Case Studies”

This new report from RAND explores two key questions: 1) “What if the IS or al-Qaeda obtained and spread a highly contagious virus in a community or country that they sought to punish?” and 2) “With the pandemic highlighting weaknesses in response efforts, will these groups now seek to obtain infectious viruses to achieve these same deadly results?” Though it determines that the pandemic is unlikely to increase these groups’ interest in BW, it does also note that, “COVID-19 and the effects of global climate change are stern prompts to reimagine threats to national and international security.” It offers a number of cogent recommendations, including improving collaboration between animal and human health.

Lobes and Robes Podcast, “Episode 6: : Chemical Weapons: The Science and the Policy”

This episode features American University Chemistry Professor Stefano Costanzi, an expert both on the harm chemicals pose to living organisms and global security policies aimed at protecting the public from those dangers. In conversation with Drs. Carle and Davidson, Dr. Costanzi discusses the gaps in current policies and practices that allow chemical weapons to proliferate as well as some of his ideas about solutions and tools to narrow those gaps. Dr. Costanzi’s work itself bridges the neuroscience and public policy divide, and in so doing he models how science and policy can be brought into communication with each other.

North Korea’s COVID Outbreak: A Conversation with Kee B. Park, MD

Early in the pandemic, North Korea shut its borders to the outside world to prevent the spread of COVID-19 domestically. For the last two years, North Korea’s border controls have largely protected the population from the pandemic but that changed in early May when Pyongyang announced its first confirmed case of COVID-19 and large numbers of a quickly-spreading fever. Join KEI for a discussion with Kee B. Park, MD about how North Korea is handling the outbreak of COVID-19 and how the international community could help. Dr. Park is a Lecturer on Global Health and Social Medicine at Harvard Medical School and the Director of the North Korea Program at the Korean American Medical Association. He leads the collaboration between U.S. and North Korean physicians. Since 2007, he has made 19 visits to North Korea, most recently in November 2019. This event will take place June 6, 2022 at 11:30am EST. RSVP here. The discussion will also be livestreamed via YouTube.

RADx® Initiative & COVID-19 Solutions: Bioengineering at Unprecedented Speed and Scale

This Council on Strategic Risks webinar will discuss the RADx Initiative, which was launched in April 2020 by the National Institutes of Health (NIH) to speed innovation in COVID-19 testing. The initiative has been incredibly successful in supporting the development and implementation of accurate, easy-to-use, and accessible testing technologies, and it serves as a useful model for current and future public-private partnerships and interagency collaboration. The event will feature three fantastic panelists who have been deeply involved in RADx: Dr. Bruce Tromberg, Dr. Jill Heemskerk, and Dr. Rachael Fleurence. CSR CEO and Nolan Center Director Christine Parthemore will moderate. This webinar is open to the public, and will include a Q&A session for our experts to answer the audience’s questions. It will take place on June 8 at 1pm EST. Registration is open here. It will be recorded and posted on CSR’s Youtube channel.

Schar School Master’s and Certificate Virtual Open House

The Schar School is hosting a virtual open house for all of its master’s and certificate programs, including those in biodefense, on June 8, 2022 at 6 pm EST. This is a great opportunity to learn more about all our programs and to meet key faculty members! Register here.

Medical, Biomedical and Biodefense: Support to the Warfighter

The Offices of Senator Richard Burr, Senator Thom Tillis, the North Carolina Military Business Center and the North Carolina Biotechnology Center will host the Medical, Biomedical & Biodefense: Support to the Warfighter Symposium in Chapel Hill, North Carolina on June 8-9, 2022. Of particular interest, it will include a panel on biodefense moderated by David Lasseter, Former Deputy Assistant Secretary of Defense for Countering Weapons of Mass Destruction, on June 9 at 3 pm EST that will feature a number of fantastic experts.

Medical Support to the Warfighter will connect businesses in North Carolina with military and other federal agencies that require or purchase medical supplies, equipment, devices, pharmaceuticals, medical information technology and medical services. Representatives from the Departments of Defense, Veterans Affairs and Health and Human Services, including their prime vendors and major contractors, will highlight current resource gaps and needs, future requirements and procurement processes to supply military and federal medical facilities. Learn more and register at the link above.

Russian WMD Disinformation Resources

We are currently working on creating a searchable collection of resources on Russian WMD disinformation on the Pandora Report site. The page is currently under construction, and now just lists resources we have highlighted in the past. While we do not have a new one to add to the list this week, here is an interesting read on President Putin’s past with red mercury, a fake chemical compound with supposed nuclear applications that was popular on the black market as the Soviet Union collapsed.

Pandora Report: 5.27.2022

Happy Friday! This week starts with a trip around the Korean Peninsula as we cover what some Biodefense Program students are doing in South Korea right now before discussing updates on COVID-19 in North Korea. Brief updates and sources for more information on monkeypox are also included, in addition to a number of new publications and upcoming events.

Biodefense Students Study Northeast Asian Security Issues in South Korea

Four students from George Mason’s Biodefense Program are studying international security issues in South Korea for two weeks with the Schar School’s Center for Security Policy Studies (CSPS). The program is headed up by the Schar School’s Professor Ellen Laipson, current Director of CSPS and President Emerita of the Stimson Center, and is sponsored by the UniKorea Foundation. Their time in Korea began at George Mason’s Korea campus, located on the Incheon Global Campus. They are currently in Seoul and will soon finish their trip in Busan. Among other things, they have completed a Korean War crisis simulation and attended the CSPS-Korea branch’s annual symposium, “Prospects for Peace on the Korean Peninsula in Northeast Asia’s Changing Security Landscape,” which has been featured in multiple Korean media outlets.

COVID-19 in North Korea

The Democratic People’s Republic of Korea’s (DPRK, North Korea) outbreak of “fevers” continues as cases surge towards 3 million and the official death count reaches 86. The country claims it has the situation under control and that it is currently seeing a downward trend in cases, though this is the subject of much skepticism. “In a few days after the maximum emergency epidemic prevention system was activated, the nation-wide morbidity and mortality rates have drastically decreased and the number of recovered persons increased, resulting in effectively curbing and controlling the spread of the pandemic disease and maintaining the clearly stable situation,” Korean Central News Agency said this week.

However, North Korea is apparently unable to maintain sufficient testing capacity, so their numbers actually reflect those confirmed to have a fever, rather than confirmed cases of COVID-19. The term “fevers” seems to have become both a euphemism for COVID-19 and an actual metric for determining who is sick in the absence of strong testing capacity. Furthermore, given the realities of the regime’s rule and party politics in the country, lower-level leaders are not incentivized to tell the truth about outbreaks in localities and provinces. Therefore, while state media is likely not telling the truth about the situation, the central government also likely does not have a great understanding of national case counts either.

North Korean poster praising the Party’s “quarantine battle” featured by Korean Central News Agency (Source: 조선중앙통신)

Furthermore, while it is doubtful that the country has been truthful in reporting cases over the last couple of years, this does pose an important question- Why did the DPRK announce it has an outbreak now? Kim Jong-un has even described this as the worst crisis since the country’s founding in the mid-20th century. For context, North Korea survived a horrific famine in the 1990s wherein 240,000 to 3.5 million died of starvation or hunger-related illnesses in a country of 22 million. The DPRK is currently struggling with food shortages driven by low crop yields and reduced trade with the PRC due to COVID-19 border restrictions. Kim has also formally acknowledged this crisis, but the admission that this outbreak is so dangerous is especially interesting. National lockdowns have also likely further exacerbated hunger issues in the chronically malnourished country, as North Koreans lose access to private markets where many acquire most of their food, instead of through the national distribution system. There are a myriad of answers swirling around right now about why Kim announced this now, ranging from the idea that he really did not know how bad it was (because, again, lower-level leaders are not likely to be entirely truthful in their reporting) to the potential for this announcement to give the regime more control during this crisis.

However, the rapid spread of fevers throughout the capital has not dampened the DPRK’s missile tests. It launched three ballistic missiles within hours of announcing there was an outbreak in Pyongyang. Furthermore, this week, as President Biden’s trip to South Korea and Japan wrapped up, the North launched an ICBM and two other ballistic missiles. Multiple high-explosive tests have been conducted in the North in recent weeks, prompting officials to warn that nuclear and ICBM tests were likely scheduled to occur within the next several weeks. President Biden promised his counterparts that he would work to deter the North’s nuclear threat, which has been a cornerstone of newly-inaugurated South Korean President Yoon’s campaign. Biden and Yoon also publicly discussed resuming military exercises between the two countries, which were paused or scaled-down under the Trump and Moon administrations in an effort to increase engagement with the DPRK. While all of this is something the North would unsurprisingly conduct tests in response to, some did express doubt that this would happen with the formal announcement that there is a major COVID-19 outbreak in the capital. This week, the UN Security Council rejected a US-led resolution to sanction the DPRK in response to these launches, due to Russian and Chinese vetoes. The Chinese Permanent Representative to the UN, Zhang Jun, gave a speech during the vote in which he argued that sanctioning the North would be inhumane given the current situation, even though countries like South Korea and the US have offered aid to the DPRK even while remaining firm on issues like the North’s nuclear program.

The North has also continued to reject other international COVID-19 aid, further signaling that this outbreak has not changed much in the DPRK’s foreign policy so far. There are no known COVID-19 vaccines or antivirals in the country either. With concerns about access to things like oxygen and other medical supplies in the country, this fact is especially concerning. State TV has advised citizens to do things like make salt gargles, drink herbal teas, take pain killers, and disinfect their homes with mugwort solutions, further indicating the regime is presently relying on these at-home “cures” even though it has been offered aid by several countries and the WHO. Kim Jong-un has personally toured several pharmacies, sporting two masks while doing so in a departure from the last two years. It has also been reported that North Koreans near the Chinese border have been observed not wearing masks, meaning masking may only be in effect in Pyongyang or there is a mask shortage. This all does not bode well as the country’s healthcare system has remained hardly functional since the 1990s and more than 42% of the population are considered malnourished.

Monkeypox Cases On the Rise

Monkeypox updates are coming in constantly so, in an effort to not provide outdated or incomplete information, this section will focus more on providing good options for more information. As of May 25, there were 219 confirmed cases globally, primarily in young men who have sex with men, according to the European Centre for Disease Prevention and Control. These have been reported in 12 WHO member states where the disease is not endemic, a fact that the WHO says is abnormal, but containable.

The CDC’s Health Alert Network recently published this report on the disease in the US and other non-endemic countries that urges clinicians to be vigilant given the rise of cases not associated with travel to endemic countries. It provides good background and descriptions of clinical presentation, in addition to advice for health departments and the general public.

This situation has also required countries to assess the preparedness of their vaccine stockpiles. The US has two vaccines in its Strategic National Stockpile for smallpox that will also work against monkeypox, for example. As there is no specific vaccine for monkeypox, demand for smallpox vaccines has skyrocketed. Bavarian Nordic‘s smallpox vaccine has proven to be 85% effective against monkeypox and the company is seeing unprecedented demand for a product it normally produces for biodefense stockpiling purposes.

“Unrelenting Violence: Violence Against Health Care in Conflict”

The newest report from Safeguarding Health in Conflict Coalition was recently released, analyzing attacks on healthcare systems in conflict zones throughout 2021. With more than 200 WHO-confirmed attacks on health care in Ukraine, “…the world’s attention has understandably focused on Russia’s invasion and its apparent strategy of targeting hospitals and ambulances,”—but the crisis is global, the Coalition’s chair, Leonard Rubenstein, said in a Physicians for Human Rights news release. While the report does acknowledge there have been some improvements in accountability for these attacks, Rubenstein also stated, “Perhaps 2022 will be an inflection point, as images and reports of attacks on health care and their consequences in Ukraine continue to go viral, accompanied by frequent and loud demands for accountability – but it won’t be if the lassitude of the international community continues.”

Combatting Terrorism Center Sentinel New Edition

West Point’s Combatting Terrorism Center (CTC) recently released a new edition of its Sentinel, “The Biological Threat- Part Two,” as a follow up to the previous part one. In it, Gary Ackerman, Zachary Kallenborn, and Philipp Bleek present a bioterrorism
classification schema to evaluate the pandemic’s impact on bioterrorism, concluding that “…when it comes to bioterrorism, the pandemic probably has not moved the needle much. Although COVID-19 might encourage apocalyptic cults, some radical environmentalists, some extreme right-wing groups, and some Islamist extremist groups toward biological weapons, most other terrorist groups are more likely to be discouraged. The pandemic has bolstered some terrorists’ bio-related capabilities but in at most modest ways. At the same time, lessons from the COVID-19 experience may both help reduce the consequences of a future attack and heighten perceptions of bioterrorism risk.” Drs. Audrey Kurth Cronin of American University and Jaime Yassif of NTI also provided articles for this edition.

“When All Research Is Dual Use”

Issues in Science and Technology recently published this article by Dr. Sam Weiss Evans. In it, Weiss discusses issues with how policymakers view science and scientists, writing “The problems with the myth of asocial science, and its accompanying pantheon of lone hero scientists, are widespread and well known—but not, it seems, to policymakers, who continually reinscribe it. The myth can be found throughout US research, innovation, and governance systems, all of which fail to incentivize scientists to engage with society—or, often, even with those from other fields of study who might bring a different perspective.” He argues that science should instead be understood as a social system wherein science and scientists are questioned on the security implications of their work. He also criticizes “research security” and “research integrity”, arguing that these are part of a “fortress America” understanding of the world and that “Guards, gates, and guns only help when it’s clear what the threats are and what is to be protected. In the world of emerging biotechnology, neither is clear.” He ultimately concludes that social science approaches to understanding these threats need to be at the heart of the National Security Commission for Emerging Biotechnology’s work, writing that it will “…not be easy, as it questions some of the underlying assumptions of science—and of national security—for the last century. But the world in which those foundations were laid down no longer exists.”

“Charting a New Course for Biosafety in a Changing World”

David Gillum, Rebecca Moritz, Dr. Yong-bee Lim (Biodefense Program alumni), and Dr. Kathleen Vogel also recently released a piece in Issues in Science and Technology. They explain that “… recent events—such as the discovery of smallpox vials outside of high containment labs, the transport of inactivated anthrax around the world, and safety concerns around gene drives and a future with do-it-yourself genome editing—highlight gaps in how biosafety governance currently operates.” They argue that now is the time to amend issues in biosafety governance, but also that current proposals to do so “…largely mirror historical precedents and are reactive, overly broad, and inconsistent.” Their work provides good background information on this debate and offers an intriguing perspective on how to best balance allowing science to advance while also being realistic about the risks certain work poses.

Summary Report- “The Ethics of Protecting ‘CRISPR’ Babies: An International Roundtable”

The University of Kent recently hosted a roundtable event focused on the ethical issues posed by “CRISPR babies,” which featured Biodefense Program faculty member Dr. Sonia Ben-Ouagrham Gormley. The event’s summary report was recently published and provides background on this issue, including the recommendations of Ruipeng Lei and Renzong Qiu in China to protect the world’s first three genome-edited children, in addition to panelist comments. Dr. Ben-Ouagrham Gormley was also recently named a runner-up winner of the James Martin Center for Nonproliferation Studies’ McElvany Award for her work, “From CRISPR babies to super soldiers: challenges and security threats posed by CRISPR.”

Launching the Competence Network CBWNet: Achievements of the Chemical Weapons Convention and Future Challenges

The CBWNet recently released this working paper discussing the CWC at 25 years and the recent launch of the CBWNet project itself. The project is “a new, joint endeavour aimed at strengthening the norms against chemical and biological weapons. The four-year project is carried out jointly by the Berlin office of the Institute for Peace Research and Security Policy at the University of Hamburg (IFSH), the Chair for Public Law and International Law at the University of Gießen, the Peace Research Institute Frankfurt (PRIF) and the Carl Friedrich von Weizsäcker-Centre for Science and Peace Research (ZNF) at the University of Hamburg.” This paper identifies key gaps in international norms against chemical weapons use and how these might be bridged.

Discussions with DTRA Podcast, “Episode 1: DTRA Cleans Up Vozrozhdeniya Island’s 12 Tons of Anthrax”

This episode covers the Cooperative Threat Reduction Program’s Biological Threat Reduction Program’s heavy involvement in Vozrezhdeniye Island, Uzbekistan, commonly referred to as Voz Island, where the CTR Program eliminated more than 12 tons of weaponized anthrax that was abandoned on site. It includes the personal stories and experiences of DTRA people who were on the ground as part of the clean-up crew.

Global Public Policy Institute Podcast- “Nowhere to Hide”

This new episode from GPPI, “Nowhere to Hide”, discusses use of chemical weapons in Syria using first-person perspectives to do so. GPPI writes:

The systematic use of chemical weapons in Syria is one of the most heinous crimes in modern history. These toxic attacks have claimed the lives of almost two thousand people and left thousands more profoundly scarred. Not only did the Syrian regime poison its own people – it also defied the norms that underpin our international community. Assad’s flagrant crimes in Damascus, Aleppo and elsewhere have raised weighty questions about the future of war. And they have left Syrians with a momentous mission for justice. Nowhere to Hide tells the stories of those who came closest to these events.

Investigating High-Consequence Biological Events of Unknown Origin

The Vienna Center for Disarmament and Nonproliferation and the Nuclear Threat Initiative are offering an event exploring the possibility of establishing a new “Joint Assessment Mechanism” — a concept that NTI has been developing in consultation with international experts — to strengthen UN-system capabilities to investigate high-consequence biological events of unknown origin. The event will take place on Tuesday, 7 June 2022 from 13:00 to 14:30 CEST (Central European Summer Time) in person and online. The event will feature NTI’s Dr. Jaime Yassif and Angela Kane and UNIDIR’s James Revill. RSVP here.

Stakeholder Engagement Meeting on USG Policies for the Oversight of Life Sciences Dual Use Research of Concern

NIH will hold a stakeholder engagement meeting on the U.S. Government policies for the oversight of Dual Use Research of Concern (DURC). The meeting will be held in person at Arizona State University in Tempe, AZ and it will be webcast. It is scheduled for June 29, 2022, tentatively 12:00 PM to 6:15 PM ET (9:00 AM to 3:15 PM MT). Additional information will be available soon. Please monitor this site for updates.

Russian WMD Disinformation Resources

The mountain of debunkings and academic commentary on the Russian disinformation campaign targeting DTRA’s Biological Threat Reduction Program-supported labs in Ukraine continues to grow. While a more comprehensive list and tool on the Pandora Report’s website is currently under construction, here are a couple of recent works on the matter:

Dr. Gregory Koblentz on The Danger of Disinformation

Dr. Koblentz recently gave this talk, “The Danger of Disinformation,” with the Nuclear Threat Initiative discussing Russia’s false claims about Ukrainian biological research facilities.

GMU’s Access to Excellence Podcast- “EP 39: Russia’s War in Ukraine is Tied to Corruption, Organized Crime”

Dr. Louise Shelley, a University Professor and director of Mason’s Terrorism, Transnational Crime and Corruption Center explains to George Mason President Gregory Washington the connections between the war in Ukraine and Russian corruption and organized crime, and how criminals and terrorists take advantage in diverse ways of the globalized world in which we live. Shelley’s center exposes that criminality and recently helped take 55 million counterfeit and sub-standard medical masks out of circulation worldwide with the takedown of more than 50,000 online marketplaces and social media posts.

Pandora Report: 5.13.2022

Happy Top Gun Day to all those that feel the need for speed! Continuing the theme of “things you thought you left in the Cold War,” we’re covering news from Pyongyang, Beijing, and Moscow in this edition. This week we discuss the official emergence of COVID-19 in North Korea, China’s new 14th Five-Year Plan for the Development of the Bioeconomy, and a WHO European Region proposal to condemn Russia’s attacks on Ukrainian healthcare facilities and even shutter the WHO European Office for the Prevention and Control of NCDs in Moscow. The new Statement of the G7 Non-Proliferation Directors Group and updates on avian influenza in the United States are also discussed. We have included a number of great new publications, including a report from the Bipartisan Commission on Biodefense discussing the resources land-grant universities can offer US biodefense and the WHO’s first global report on infection prevention and control. Upcoming events, including one offered by Issues in Science and Technology featuring Biodefense Graduate Program alumnus Dr. Yong-Bee Lim as a panelist, are included. Finally, check out the announcements section for a special One Health funding opportunity and more new works combatting Russian WMD disinformation.

“Maximum National Emergency” in the Impossible State- First COVID-19 Outbreak Announced in Pyongyang

The Democratic People’s Republic of Korea (DPRK, or North Korea) announced via the Korean Central News Agency that it is in the midst of a COVID-19 outbreak this week with multiple people testing positive for the BA.2 subvariant in Pyongyang. At least 187,000 were quarantined due to a “fever” of unknown origin and Kim Jong-un declared a “maximum national emergency” in response. According to the New York Times, “North Korea said 350,000 people had been found to have a fever since late April, including 18,000 on Thursday. It added that 162,200 people had completely recovered.” Six are reported dead (one specifically from Omicron) and Kim has ordered all cities and counties in the country of 25 million to lock down. This is the first admission to having any cases from the regime and, in typical fashion, Kim took the opportunity to admonish his health officials, claiming that the outbreak in the capital “shows there is a vulnerable point in the epidemic prevention system.” As of late February this year, the DPRK had reported 54,187 COVID-19 tests to the WHO since the pandemic began, all of which it claimed were negative.

The announcement was made the same week the South inaugurated its new president, Yoon Suk-yeol on May 10. Yoon is a conservative who brings a harsher stance on the North than his predecessor, Moon Jae-in, which many think will heighten tensions over the North’s nuclear weapons. While major political events in the South often bring provocations from the North, including nuclear tests, some wonder if this new revelation might temper this tendency. However, former UK Ambassador to the DPRK, John Everard, believes this is unlikely to stop the North’s weapons testing for now. However, it may impact Kim’s promise to rapidly expand his nuclear arsenal, according to some analysts, a promise which he made at last month’s military parade featuring new ICBMs.

Irrespective of what happens in terms of nuclear testing, the public health situation is critical in the DPRK. Like China, it has implemented a Zero COVID-19 policy, which includes lockdowns at the border and strict quarantines. However, it has not yet started a COVID-19 vaccination campaign, making it the only other country to have not done so apart form Eritrea. This is despite multiple offers and refused deliveries from COVAX, including an offer that would have covered 20% of the population. As of February this year, COVAX had just 1.29 million doses allocated to North Korea, a number many organizations are calling for increases in amid the outbreak. The country previously expressed concerns about the safety and efficacy of the AstraZeneca vaccine COVAX had allocated for the country (citing concerns about rare blood clotting following vaccination), though it also rejected over 3 million doses of China’s Sinovac in September of last year, saying they should be sent to severely impacted countries. The DPRK also rejected multiple offers from South Korea and Russia to provide vaccines to the country in 2021. As a result, this is an unvaccinated population in a country plagued by malnutrition and other health crises facing a highly transmissible and contagious subvariant, all while lockdowns make accessing what healthcare is available difficult if not impossible.

Korea experts at CSIS think that the North is probably interested in receiving vaccines, though they specifically want mRNA ones. AstraZeneca’s vaccine is, like Johnson and Johnson’s offering, a viral vector vaccine. Sinovac’s CoronaVac is an inactivated vaccine found to be less effective than mRNA vaccines, like those offered by Pfizer and Moderna. Remember, the PRC has not produced nor authorized any mRNA vaccines, despite its initial claims that it had one domestic mRNA vaccine offering at its reach. The PRC does have some mRNA candidates in phase three clinical trials and review and approval processes, including the vaccine developed by Abogen Biosciences, Walvax Biotechnology, and the PLA Academy of Military Science that is currently in extensive trials in China, Mexico, and Indonesia. However, as China struggles with case counts in places like Shanghai, this is unlikely to be of much help to the DPRK any time soon.

The North has likely been concerned about the monitoring requirements that come with accepting COVAX shipments, which might be mitigated by reframing this as technical support while highlighting the differences between vaccines and other fungible forms of aid. De-linking COVID-19 aid from progress on other strategic goals is another potentially useful tool if the North remains committed to its current approach. Again, however, this is an incredibly serious situation, so the DPRK may be more open to less desirable terms than it normally would be.

Furthermore, the Zero COVID approach has contributed to secondary health and food crises as supplies of medication and access to care evaporate and the food shortage drags on. In fact, “The Great Year of Victory 2021”, the most recent version of the annual, near-two-hours-long documentary praising Kim and recapping the regime’s achievements for that year, even admitted there is a food crisis. According to the Washington Post, “The narrator described a meeting where Kim expressed his concern that “what is urgently needed in stabilizing the people’s livelihood is to relieve the tension created by the food supply,” and he called on emergency measures for the “food crisis,” noting that the country had dipped into its emergency grain supply. In June, Kim called the country’s food situation “tense.”” Border closures blocked shipments of grains, fertilizers, and farming equipment, adding to the pain of a population wherein the UN estimates at least 43% are food insecure. This was all even further exacerbated by severe flooding followed by 2020’s typhoons, contributing to continued low crop yields. Kim Jong-un even remarked at a 2021 Worker’s Party meeting that the “people’s food situation is now getting tense.” Finally, an October 2021 report from South Korea’s National Intelligence Service revealed that Kim ordered an all-out farming campaign, calling for all citizens to “devote every effort to farming, and to secure “every grain” of rice.”

China has indicated it is “ready to go all out” in its support for the DPRK during the outbreak. Zhao Lijian, Deputy Director of China’s Ministry of Foreign Affairs Information Department, told South Korea’s Yonhap News Agency this week, “China and the DPRK are friendly neighbors linked by mountains and rivers. The two sides enjoy the fine tradition of mutual assistance. Since the onset of COVID-19, the DPRK side has been firmly supporting China in the fight against the coronavirus. China very much appreciates that. We feel deeply for anti-COVID situation in the DPRK. As the DPRK’s comrade, neighbor and friend, China is ready to go all out to provide support and assistance to the DPRK in fighting the virus.”

However, this aid is likely to be slow moving, with the PRC and DPRK having re-suspended overland trade last month. The suspension was previously lifted in January 2022 after the border was closed in 2020 to prevent COVID-19 from spreading into the country. This lack of movement impacted what aid was sent, with a 2020 UNICEF aid bundle sent to North Korea in 2020 sitting idle at a quarantine facility in China until January of this year. Furthermore, trade between the countries dropped over 90% between March 2020 and March 2021, with the DPRK economy contracting 4.5% in 2020, the steepest decline for the country since it endured the massive North Korean Famine of the 1990s. South Korea’s Ministry of Unification announced too this week that the ROK is willing to provide medical assistance and other help North Korea during this crisis.

In February 2021 the CSIS Korea Chair’s podcast, The Impossible State, covered what was then known about lockdowns and the severity of COVID-19 in the North. This is a great source for context on this situation and, in it, Dr. Victor Cha (Senior Vice and Korea Chair at CSIS,  D. S. Song-Korea Foundation Chair in Asian Studies at Georgetown University, and former Director for Asian Affairs at the National Security Council), Dr. Kee Park (Lecturer on Global Health and Social Medicine at Harvard Medical School), and Dr. J. Stephen Morrison (Senior Vice President and Director of the Global Health Policy Center at CSIS) discussed issues like a lack of ventilators in the country and, perhaps most interestingly, greater government control of private markets.

These markets gained momentum during the days of the great famine in the 1990s when the regime’s public distribution system failed. According to some estimates pre-pandemic, up to 72% of North Koreans get all of their daily resources from these markets, not from the government. These are also avenues for media from the rest of the world to enter the country, however they also offer the regime and easy resource for hard currency. This was seen in 2009 when the regime redenominated the won and placed restrictions on how much of the old currency could be converted, helping reconsolidate its power from the growing markets. In an effort to recentralize and recoup some of its losses in 2021, the government “..reclaimed control over all foreign trade and domestic markets.” “During the 8th Party Congress, North Korea announced its new five-year economic plan (2021–25). It stresses centralised management in all sectors and advocates greater political control in day-to-day economic planning and management,” according to East Asia Forum. While this indicates the regime feels threatened by the pandemic, it also means that food insecure people’s access to resources was further limited, which will be even worse now with the entire country in lockdown.

China’s 14th Five-Year Plan Gets Boost to Its Bioeconomy Focus

In March 2021, the PRC’s National People’s Congress passed the country’s 14th Five-Year Plan, covering 2021-2025. China’s five-year plans are collections of social and economic development initiatives that the Party issues to help guide policy making. They help the Party outline what each facet of government should be working towards by doing everything from outlining what Chinese communism looks like in a given era to launching comprehensive reforms. Drafted in October 2020, the 14th Five-Year Plan was written amid economic shrinkage (the first in four decades) and worsening US-China relations during the COVID-19 pandemic. It sets forth a strategy of the “domestic and overseas markets reinforcing each other, with the domestic market as the mainstay,” focusing heavily on the economy, environment, energy, transportation, research and development, and urbanization.

China Daily reported this week that the National Development and Reform Commission released a new document outlining a plan to “spur the bioeconomy during the 14th Five-Year Plan period (2021-25), in a bid to promote high-quality development of the sector,” called “The 14th Five-Year Plan for the Development of the Bioeconomy.” This is similar in nature to the 14th Five-Year Plan for National Informatization released in December 2021, which seeks to further the country’s digitization during the period covered by the 14th-Five Year Plan. The 29-page bioeconomy plan, available here (no English translation was available at the time of writing) outlines steps “to promote innovative development of the bioeconomy, accelerate the development of healthcare, bio-agriculture, bioenergy, biological environmental protection and bioinformatics, improve the biosecurity risk control, prevention and governance system, and create a better environment for the innovative development of the bioeconomy.”

It begins by explaining broad objectives and indicating it was crafted “according to the 14th Five-Year Plan of National Economic and Social Development of the People’s Republic of China and the Outline of Vision 2035.” It then continues to define goals across 28 sub-topics, ranging from development areas to calls for improved epidemic management and biosecurity. The document outlines a number of basic principles including “Adhere to the innovation-driven”, “Adhere to win-win cooperation”, and “Adhere to risk control.”

The promise of win-win cooperation is a key way China promotes its aid and infrastructure deals with other countries, contrasting its supposedly mutually beneficial offerings with those of the United States. In a statement before the UN in 2015, Xi Jinping took this even further, saying “Major countries should follow the principles of no conflict, no confrontation, mutual respect and win-win cooperation in handling their relations. Big countries should treat small countries as equals, and take a right approach to justice and interests by putting justice before interests.” This echoes many claims and promises the PRC makes to differentiate itself from the United States on the global stage. In reality, the PRC is not really interested in win-win situations just as it is only interested in its core principle of non-interference when it is convenient. To achieve this “win-win approach”, the plan calls for, “a higher level of openness to the outside world and greater reform initiatives to gather global bio-innovation resources.” It also calls for China to “Actively participate in global biosafety governance, promote bilateral and multilateral international cooperation in life sciences and biotechnology, and promote the rational flow of innovation factors to achieve mutual benefit and win-win bio-economic benefits.”

Zhou Jian, Deputy Director of the Consumer Goods Industry Department at the Ministry of Industry and Information Technology said, “The ministry will work with relevant departments to implement moves to modernize the biomedicine sector, including building a modern innovative ecosystem deeply integrating the industrial, innovation, value and supply chains, shoring up weak chains, promoting intelligent and green development of the pharmaceutical industry, driving innovative transformation of large enterprises and supporting the development of small and medium-sized enterprises that specialize in niche sectors.”

According to China Daily, “Under the plan, the bioeconomy-a model focusing on protecting and using biological resources and deeply integrating medicine, healthcare, agriculture, forestry, energy, environmental protection, materials and other sectors-will become a key driving force to boost high-quality development by 2025.

By 2025, the proportion of the bioeconomy’s added value in GDP will increase steadily, and China is set to witness a significant increase in the number of enterprises engaged in the bioeconomy with annual revenues of at least 10 billion yuan ($1.5 billion) each. By 2035, China aims to be at the forefront globally in terms of the comprehensive strength of its bioeconomy.”

This is of concern, particularly given the strategy’s interest in things like precision medicine (which uses genomic, physiological and other data to tailor treatments to individuals), as US officials continue to warn of China’s interest in Americans’ health data – including DNA information. In 2020, as US states struggled to build their testing capacity, Chinese biotech firm BGI Group (formerly known as Beijing Genomics Institute) offered at least six states help with building and managing COVID-19 testing labs. This would have given the company access to Americans’ health data, former Director of the National Counterintelligence and Security Center William Evanina said during a January 2021 CBS 60 Minutes report. BGI was also scrutinized for its connection to the PLA as it gave pregnant patients’ genomic data from NIFTY prenatal tests to the Chinese military to conduct research on population traits. The Pentagon warned service members in 2019 not to take at-home DNA test kits, stating they create security risks and could impact service members’ careers, following similar concerns. China’s interest in competing in biopharmaceuticals and medical device manufacturing further indicate the country is in it for personal gain, not improving and saving lives- a dangerous prospect in a world threatened by high chronic disease burdens and threats of emerging infectious diseases.

Europe Pressuring the WHO to Isolate Russia

Many members of WHO’s European region are pushing the organization to remove experts at its office in Moscow. The 53-member region includes Ukraine, Russia and the entirety of the EU. It will meet on Tuesday and Wednesday to consider passing a resolution condemning Russia’s attacks on healthcare facilities in Ukraine, which could set into motion the removal of WHO experts in Moscow. Politico explains, “If agreed, the resolution would force the WHO’s hand on taking a more political stance on the war. The health organization has in the past been criticized for taking overtly apolitical positions, including for its caution at publicly calling out China in the early days of the pandemic.” The WHO did announce, however, this week that it has begun gathering evidence for a potential war crimes investigation into the more than 200 attacks it has documented by Russia on Ukrainian healthcare facilities on its Surveillance System for Attacks on Health Care platform.

WHO Director-General Dr. Tedros Adhanom Ghebreyesus visiting Ukraine last week

The draft resolution is sharply worded and demands that the Russian Federation “ensure respect for international humanitarian law, including protection of all medical personnel and humanitarian personnel exclusively engaged in medical duties, their means of transport and equipment, as well as hospitals and other medical facilities.” It also asks WHO Regional Director for Europe Hang Kluge “to safeguard the technical cooperation and assistance provided by the WHO European Office for the Prevention and Control of Noncommunicable Diseases, including the possible relocation of the aforementioned office to an area outside of the Russian Federation.” It also asks Kluge to “consider temporarily suspending all regional meetings in the Russian Federation.” The suspension in the region would be in place until there is a peaceful resolution in Ukraine, according to Politico

However, some argue it will do very little in practice. Lawrence Gostin at the O’Neill Institute for National and Global Health Law called it a “weak rebuke that won’t bother Putin,” continuing on to say that the WHO could remove Russia’s voting rights at the World Health Assembly and that the assembly should pass a resolution condemning attacks on healthcare facilities. He also argued that the WHO should take make multiple steps regarding this at the World Health Assembly, including 1) suspending Russia’s WHA voting privileges, 2) passing resolutions condemning Russian attacks on healthcare and blocking humanitarian aid, 3) inviting Ukrainian doctors and human rights NGOs to speak at WHO, and 4) reforming surveillance system for attacks targeting healthcare facilities.

Ukraine’s Ministry of Health has been even less subtle about its view of the matter, tweeting “Due to #Russianinvasion, Ukraine insists on the closure of WHO’s European Office for the Prevention and Control of Noncommunicable Diseases, located in Moscow. We are talking about moving the office outside of russia. Ukraine has already submitted a request to the @WHO_Europe.”

Statement of the G7 Non-Proliferation Directors Group

The G7 Non-Proliferation Directors Group recently released this statement outlining directions for strengthening the G7’s desires to improve non-proliferation, regulate conventional weapons and ammunition, and secure the sustainable use of outer space. It begins by reiterating “the G7´s profound condemnation of Russia’s premeditated, unprovoked, and unjustifiable war of choice against Ukraine, enabled by the Belarusian government.” It covers topics like strengthening the NPT ahead of the 10th Review Conference in August 2022, support for the restoration and full implementation of the JCPOA, upholding the global norm against the development and use of biological weapons, honoring the 20th anniversary of the Global Partnership against the Spread of Weapons and Materials of Mass Destruction, defending the norm against the use of chemical weapons and countering impunity, countering the proliferation of missiles and other critical technology, saving lives by preventing illicit transfers and destabilizing accumulation of conventional weapons and ammunition, and addressing state threats to the secure, safe, sustainable, and peaceful uses of outer space.

Bird Flu Updates- US States Confirm Cases in Wild Mammals

Building on last week’s update on Highly Pathogenic Avian Influenza (HPAI) cases in the US, H5N1 HPAI is now impacting more than 2/3 of US states, and multiple states in the Midwest have reported cases in fox kits. 37.55 million poultry in the US have died as a result of the virus’s spread. In Michigan, three fox kits have died in Macomb, St. Clair, and Lapeer counties, with the Michigan State Veterinary Diagnostic Lab finding them “non-negative” for HPAI. Minnesota’s Department of Natural Resources (DNR) reported on Wednesday that a wild fox had tested positive. Two kits were also confirmed to have died from H5N1 in Ontario, Canada earlier this month, with one displaying “severe neurologic signs before dying at a rehabilitation center, according to the DNR.” An estimated 1.7 million farmed birds in Canada have been killed by H5N1 this year. A turkey vulture in Dundas was recently found to be infected, indicating it is spreading even further in Canadian wild bird populations. Wild red foxes in the Netherlands tested positive in 2021 during outbreaks of avian influenza in multiple European countries as well. These cases in the US and Canada represent the first cases reported in wild mammals in North America.

“Testing in Minnesota has confirmed HPAI in nearly 200 wild birds, including 19 species of birds, primarily waterfowl and raptors,” said Michelle Carstensen, the Minnesota DNR’s wildlife health program supervisor. Washington state confirmed Thursday that it has seen six outbreaks in just one week, adding two to that count yesterday. “With so many suspicious cases in domestic flocks and wild birds pending investigation, I can’t emphasize enough how important it is to avoid exposing your flock to wild waterfowl, shorebirds, and other domestic flocks,” Washington state veterinarian Dr. Amber Itle said. The CDC still says the risk of H5N1 to humans remains low, but it advises the public to avoid handling sick or dead birds, cautioning them to use a plastic bag or shovel to do so if necessary.

In related news, China recently detected the first human case of H3N8 in a young boy who had close contact with chickens and crows raised at his home. While a single case is not particularly concerning, increases in transmission in birds increases the opportunities for these viruses to mutate, potentially gaining the ability to spread easily from person-to-person eventually. The WHO said of the case, “Currently, limited available epidemiologic and virologic information suggests that this avian influenza A(H3N8) virus has not acquired the ability of sustained transmission among humans. Therefore, the risk at the national, regional and international level of disease spread is assessed as low.”

“Boots on the Ground: Land-Grant Universities in the Fight Against Threats to Food and Agriculture”

The Bipartisan Commission on Biodefense recently released this report discussing how universities receiving benefits through Morrill Acts of 1862, 1890, and 1994 and Equity in Education Land-Grant Status Act funds offer unique resources to identifying and rectifying critical biodefense gaps. The Commission writes:

The food- and agro-biodefense challenge is different from, but as daunting as, biodefense of human public health due to the diversity of targets (e.g., livestock, crops, soil); spectrum of potential pathogens and pests; and different geographies, ecosystems, and infrastructures at risk. Land-grant universities are uniquely positioned to help defend the United States against biological threats to food, livestock, crops, wildlife, biofuels, pharmaceuticals, textiles, the environment, the bioeconomy, and the food and agro-economy, valued at more than $1 trillion annually. In serving the states, localities, tribes, and territories in which they reside, the land-grant universities have their boots on the ground in the fight against threats to food and agriculture.

The Commission makes a number of recommendations across the subjects of coordination, early warning, research and development, and preparedness, response, and mitigation. These include “Incorporate all land-grant universities in national food and
agro-biodefense activities,” “Expand the role of land-grant universities in international
surveillance and interdiction for food and agriculture defense,” “Establish land-grant university biodefense research coalitions,” and “Establish a cooperative extension preparedness and response framework that extends the capabilities of the Extension
Disaster Education Network,” among others.

Today, the US has 112 Land-Grant Colleges and Universities, ranging from Ivy League Cornell to major state agriculture universities like Kansas State and Texas A&M, both of which have strong backgrounds in biodefense work. “The original mission of these institutions, as set forth in the first Morrill Act, was to teach agriculture, military tactics, and the mechanic arts as well as classical studies so members of the working classes could obtain a liberal, practical education,” according to the Association of Public and Land-Grant Universities. The Association also explains, “A key component of the land-grant system is the agricultural experiment station program created by the Hatch Act of 1887. The Hatch Act authorized direct payment of federal grant funds to each state to establish an agricultural experiment station in connection with the land-grant institution there. The amount of this appropriation varies from year to year and is determined for each state through a formula based on the number of small farmers there. A major portion of the federal funds must be matched by the state.”

Map depicting land-grant universities across the nation. Source: USDA

“Want to Prevent Pandemics? Stop Spillovers”

Vora et al. discuss how just $20 billion per year in investments could greatly reduce the likelihood of future spillovers in their recent Nature Comment. They write that, “Spillover events, in which a pathogen that originates in animals jumps into people, have probably triggered every viral pandemic that’s occurred since the start of the twentieth century.” They continue, explaining “What’s more, an August 2021 analysis of disease outbreaks over the past four centuries indicates that the yearly probability of pandemics could increase several-fold in the coming decades, largely because of human-induced environmental changes.” They identify four specific actions based on “decades of research from epidemiology, ecology and genetics,” including protecting tropical and subtropical forests, banning or strictly regulating (both domestically and internationally) “commercial markets and trade of live wild animals that pose a public-health risk,” improving biosecurity where dealing with farmed animals is concerned, and improving people’s health and economic security, particularly in “hotspots for the emergence of infectious diseases.” They go on to discuss other measures, like incorporating these actions into the WHA pandemic agreement currently under negotiation and improvements in preventative health care.

“Zero Draft Report of the Working Group on Strengthening WHO Preparedness and Response to Health Emergencies to the Seventy-Fifth World Health Assembly”

Speaking of the WHA, a working group tasked with finding ways to strengthen WHO’s preparedness and response to health emergencies just released this draft report for the Assembly. In their 56-page report, they provide insight and recommendations for boosting the implementation and compliance of parties to the International Health Regulations and a potential timeline for amending them. According to Devex, “To strengthen equity, the report says member states should establish and scale up national and regional manufacturing capacities for the development and delivery of vaccines, therapeutics, diagnostics, and other essential supplies during emergencies. It also asks them “to consider processes for transfer of technology and know-how, including to and among larger manufacturing hubs in each region.””

Much of the report’s proposals are not new, owing to the fact that the working group was tasked with reviewing existing recommendations for pandemic preparedness. Other recommendations, as Devex explains, include “…for the WHO Secretariat to consider a different acronym when referring to so-called public health emergencies of international concern, as the abbreviation “PHEIC” is sometimes pronounced like the word “fake” in English. The report also suggests that WHO publish information on disease outbreaks with pandemic potential “on an immediate basis” and that member states discuss the feasibility of developing an intermediate and/or regional alert systems for health emergencies.” It also recommends the 75th WHA adopts any amendments to the IHR that are ready, while also suggesting the director-general convenes a review committee to “make technical recommendations for proposed amendments submitted to the WHO Secretariat by June 30 of this year.” The group also recommends that the IHR review committee provides a report to the director-general by October. Meanwhile, a member state-led process should finalize their proposed amendments and then submit them to the director-general by January of 2023. If necessary, the report indicates this process can continue until the 76th World Health Assembly, expected to take place in May 2023.

The United States has already submitted proposals for IHR amendments for consideration by the 75th WHA. They are primarily focused on requiring states parties to provide early notification to WHO regarding any events that might become PHEICs. The WHO would also have a 24-hour window to work with states parties to verify reports and determine a disease’s potential to spread abroad. Another US-proposed amendment includes a provision on deliberations of the IHR emergency committee, specifying that if the group “is not unanimous in its findings, any member shall be entitled to express his or her dissenting professional views in an individual or group report, which shall state the reasons why a divergent opinion is held and shall form part of the Emergency Committee’s report.” The US has also proposed creation of a compliance committee for implementation of the IHR.

“The Department of Defense Contributions to Pandemic Response”

CSIS Global Health Policy Center’s Drs. Thomas Cullison and J. Stephen Morrison recently authored this report discussing the Department of Defense’s (DOD) future in the US government’s work on international health security. They write, “A process of strategic planning that encompasses a spectrum of valuable DOD contributions to contain the global Covid-19 pandemic should begin right away. DOD has broad capabilities that have consistently proven their high value in addressing the current Covid-19 pandemic and other historical disease outbreaks, in support of the U.S. civilian-led response. The knowledge and experience gained in crisis response at home and overseas contribute to military readiness and improved coordination of all actors involved in preventing, detecting, and responding to infectious disease events.”

They also provide four recommendations to strengthen DOD’s contributions overseas that advance US global health security interests:

  • Identify a lead federal agency for U.S. international Covid-19 response and future health security crises. DOD should have permanent, sustained involvement in integrating and planning from the beginning.  
  • More closely coordinate and synchronize DOD capabilities dealing with biological threats within DOD and with external partners. 
  • Align funding authorities with desired outcomes. 
  • Maintain military, medical, and scientific expertise. 

“Towards a Post-Pandemic World: Lessons from COVID-19 for Now and the Future”

The National Academies recently published this proceedings of a workshop summarizing discussions and findings from the Forum on Microbial Threats’ two virtual 2021 workshops. The first workshop focused on what it means to frame the response to COVID-19 through a “syndemic” approach, and what the implications would be for global recovery. The second workshop focused more broadly on key lessons and emerging data from ongoing pandemic response efforts that can be incorporated into current health systems to improve resilience and preparedness for future outbreaks.

This workshop explored the long-term effects of COVID-19 on health equity, including considerations for mental health and social determinants of health. It also addressed uncertainties during a pandemic, such as trust, communication, and engagement and explored approaches to systematize recovery efforts to improve the ongoing responses and prepare for the next pandemic. Experts discussed possibilities for a post-pandemic world and a response strategy for stakeholders that ensures sustained community partnerships and prioritization of health equity. This Proceedings of a Workshop summarizes the presentations and discussions from the second workshop.

“The Coronavirus Vaccine Manufacturing Failures of Emergent Biosolutions”

This week, Rep. Carolyn B. Maloney, Chairwoman of the Committee on Oversight and Reform, and Rep. James E. Clyburn, Chairman of the Select Subcommittee on the Coronavirus Crisis, released a staff report on their joint investigation into coronavirus vaccine manufacturing failures of Emergent BioSolutions, Inc. (Emergent). These failures occurred under a contract awarded by the Trump administration despite warnings about the company’s history of serious deficiencies.

According to the Committee on Oversight and Reform, “New evidence shows that nearly 400 million doses of coronavirus vaccines—significantly more than previously known—were destroyed because of Emergent’s failure to meet or maintain quality standards at its Bayview manufacturing facility. Internal communications reveal efforts by Emergent executives to hide evidence of contamination in an attempt to evade oversight from government regulators.” The report also found that Emergent executives promoted their manufacturing capability despite being warned for years by their then Executive Vice President of Manufacturing and Technical Operations that the company’s quality systems were deficient. Furthermore “FDA, Johnson & Johnson, and AstraZeneca identified multiple deficiencies at Bayview, which Emergent failed to remediate despite urgent warnings.” The report also determined that inexperienced staff and high rates of staff turnover at Emergent contributed to the vaccine contamination. HHS, under the Biden administration, terminated its contract with Emergent because the company failed to follow federal manufacturing standards. The report notes, “According to HHS, Emergent received $330 million in taxpayer dollars before the Biden Administration terminated the company’s contract in November 2021.  This action saved taxpayers $320 million that remained on the contract and came after the Committees launched an investigation and released preliminary findings about Emergent’s troubling conduct.”

“Global Report on Infection Prevention and Control”

The WHO has launched the first ever global report on infection prevention and control (IPC), revealing that “good IPC programmes can reduce health care infections by 70%.” The WHO explains, “Today, out of every 100 patients in acute-care hospitals, seven patients in high-income countries and 15 patients in low- and middle-income countries will acquire at least one health care-associated infection (HAI) during their hospital stay. On average, 1 in every 10 affected patients will die from their HAI.” This report finds that high-income countries are more likely to be further progressing in improving their IPC, and “are eight times more likely to have a more advanced IPC implementation status than low-income countries.” The report also notes that “…little improvement was seen between 2018 and 2021 in the implementation of IPC national programmes in low-income countries, despite increased attention being paid generally to IPC due to the COVID-19 pandemic.” WHO calls on all countries to increase their IPC investments to help improve quality of care and patient and worker safety.

“Archival Influenza Virus Genomes from Europe Reveal Genomic Variability During the 1918 Pandemic”

In the decades since the 1918 flu pandemic, improvements in technology have allowed researchers to learn more about the H1N1 virus that killed an estimated 50 million globally. However, questions have still remained regarding how and why the virus changed as time progressed, especially since its first wave was relatively tame compared to later waves. However, Patrono et al. recently published their research helping answer some of these questions. Dan Robitzski with The Scientist explains, the “researchers managed to extract viral genomes from tissue samples of people who caught the 1918 pandemic flu in different years to show how the virus mutated over time to adapt to the human immune system. They conclude that the virus may have evolved into the pathogen that circulated as a seasonal flu after the pandemic ended.”

Patrono et al. write in Nature Communications,

The 1918 influenza pandemic was the deadliest respiratory pandemic of the 20th century and determined the genomic make-up of subsequent human influenza A viruses (IAV). Here, we analyze both the first 1918 IAV genomes from Europe and the first from samples prior to the autumn peak. 1918 IAV genomic diversity is consistent with a combination of local transmission and long-distance dispersal events. Comparison of genomes before and during the pandemic peak shows variation at two sites in the nucleoprotein gene associated with resistance to host antiviral response, pointing at a possible adaptation of 1918 IAV to humans. Finally, local molecular clock modeling suggests a pure pandemic descent of seasonal H1N1 IAV as an alternative to the hypothesis of origination through an intrasubtype reassortment.

Influenza Milestones, Source: CDC

New York Times- The Daily: “One Million”

Today’s episode of The Daily podcast discusses the impending one millionth confirmed COVID-19 death in the United States, providing stories of some of the lives lost and the impact this has had on the living. “One million empty chairs around the dinner table. Each an irreplaceable loss,” President Biden said in a statement Thursday. “Each leaving behind a family, a community, and a nation forever changed because of this pandemic.” The podcast producers write, “We asked listeners to share memories about loved ones they have lost — and about what it’s like to grieve when it seems like the rest of the world is trying to move on. “Time keeps moving forward, and the world desperately wants to move past this pandemic,” one told us. “But my mother — she’s still gone.”” One million people is a number difficult to comprehend, but humanizing this massive number can help one process the gravity of the loss the country has suffered during this pandemic.

What Is Biosecurity for the Twenty-First Century?

After September 11 and the anthrax attacks in 2001, the United States adopted a top-down governance structure for bioterrorism that famously employed “guns, gates, and guards” to prevent attacks, while keeping track of suspicious “insiders” who might cause harm. But today, after the emergence of the novel coronavirus and its variants, society’s idea of what constitutes biological security and safety is changing. Looking toward a future in which gene editing can be done by do-it-yourselfers, biological engineering is common, and environmental changes shape new biorealities, the old top-down model of biosecurity will not be up to the task.

On May 23 at 3:00 PM ET, join Melissa Haendel (University of Colorado Anschutz Medical Campus), David Gillum (Arizona State University), Sam Weiss Evans (Harvard Kennedy School), and Yong-Bee Lim (Council on Strategic Risks) for a discussion moderated by Bryan Walsh (Vox Future Perfect) on how to reimagine biosecurity and biosafety—and even the relationship between biological research and society—for a new era. Register for the event here.

The Danger of Disinformation: Understanding Russia’s Propaganda Campaign Against Ukrainian Biological Facilities

Join NTI for a conversation with Dr. Gregory Koblentz, one of the world’s foremost biodefense scholars working at the nexus of health, science, and security, to discuss the ongoing Russian disinformation campaign against biological research facilities in Ukraine.

As part of an effort to justify its invasion of Ukraine, Russia has sought to sow doubt and confusion around the purpose of public health and research labs in the country, spreading disinformation that these facilities are conducting covert, offensive bioweapon development operations. This tactic is a longstanding favorite of the Russian government, going back decades. Koblentz will explore the true aims of Russia’s disinformation campaign in Ukraine and what the international community should do to counter it. This seminar will be held on May 17 at 11 am EST. Register here.

Lessons from COVID-19 for the Public Health Emergency Enterprise: What Happened to the Plans? – A Workshop

The National Academies of Sciences, Engineering, and Medicine Forum on Medical and Public Health Preparedness for Disasters and Emergencies is hosting a workshop exploring the nation’s Public Health Emergency (PHE) preparedness enterprise, through the lens of COVID-19 in the US. The workshop will be hosted on May 17 and 18, and will explore key components, success stories, and failure points throughout the entire PHE preparedness and response enterprise. Participants will also identify opportunities for more effective catastrophic disaster, pandemic, and other large scale PHEs planning at the federal, state, local, tribal, and territorial levels. Speakers include Dr. Deborah Birx (former Coronavirus Response Coordinator at the Office of the Vice President) and Dr. Gigi Gronvall (Senior Scholar at Johns Hopkins Center for Health Security). Register here.

Dr. Gregory D. Bossart Memorial One Health Scholarship Call for Applicants

A $5,000 USD Dr. Greg Bossart Memorial Scholarship is available to a graduate student in wildlife biology, epidemiology, veterinary, medical, public health, basic or social sciences or other post-graduate program focusing on the interconnection between people, animals, plants, and their shared environment using a One Health framework. The application deadline is July 1, 20022, at 11:59 pm EDT. Learn more about Dr. Bossart and the scholarship here.

Russian WMD Disinformation Resources

The mountain of debunkings and academic commentary on the Russian disinformation campaign targeting DTRA’s Biological Threat Reduction Program-supported labs in Ukraine continues to grow. While a more comprehensive list and tool on the Pandora Report’s website is currently under construction, here are a couple of recent works on the matter:

“Russia Targets Azerbaijan, Others With Fake Bioweapons Claims”

Voice of America’s Polygraph.info fact-checking site published this fact-check discussing Secretary of the Russian Security Council Nikolai Patrushev’s April 27 claim that, “After the collapse of the Soviet Union, the United States and its satellites deployed a network of bio-laboratories in the space of the former Soviet republics – in Georgia, Ukraine, Azerbaijan, Uzbekistan, Kazakhstan, and Armenia, where, under the guise of scientific research, they conduct military-biological activities.” Following Russia’s claim that it “could face biological threats from lab leaks in countries on its southern borders,” Azerbaijan’s State Security Service rejected the claims such labs have never operated in the country on May 7.

“Americans Love Conspiracy Theories, and That’s Dangerous for Everyone”

Matthew A. Baum and Katherine Ognyanova with the Bulletin of the Atomic Scientists discuss some of their findings from the COVID States Project in this piece. They explain their recent national survey asking respondents to assess the accuracy of eight popular false claims, four of which were about the COVID-19 vaccine. The other four pertained to Russia’s war in Ukraine. They also asked respondents about their attitudes and behaviors regarding both crises. They write, “The results contain both good and bad news. The good news is that in both cases, most Americans did not believe false claims about either crisis…The bad news is that relatively large percentages of respondents were unsure about the accuracy of the false claims.”

Something a Little Less Serious If You Made It This Far… “Utah Plant Pest Diagnostic Lab Wins NPDN’s Rotten Tuber Award for ‘Hazmat Team Called for Bee Excrement!’”

USDA’s National Institute of Food and Agriculture announced Wednesday that the Utah Plant Pest Diagnostic Lab at Utah State University was awarded first place in the National Plant Diagnostic Network (NPDN)’s Rotten Tuber Awards for its submission – “Hazmat Team Called for Bee Excrement!” The Rotten Tuber Awards recognize unique samples that leave plant diagnosticians asking themselves, “What was this person thinking when they sent this sample?” From USDA NIFA:

“Enjoy “Hazmat Team Called for Bee Excrement!” submitted by Zach Schumm, arthropod diagnostician and urban IPM associate, and Claudia Nischwitz, plant pathologist specialist:

“In mid-August 2021, the Utah Plant Pest Diagnostic Lab received a frantic call from an individual at a local Department of Health regarding a substance that was found on school buses that were about to be sent out to pick up children. They weren’t sure what the substance was and due to safety concerns, they delayed the use of the buses. Thinking the substance could be from a plant or plant derived, they contacted us in the diagnostic lab to see if we could offer any immediate advice. But they made it abundantly clear that they had no idea what the substance could have been. And tensions were clearly high! 

“When we were contacted by the individual, Zach Schumm had them send photographs of the substance and told them we would call back immediately once we got a look. Zach identified the substance immediately as bee excrement and nothing of concern. Within a few minutes, we called the individual back and she immediately put me on speakerphone. 

“Schumm vividly remembers telling them I knew what the substance was, and they replied “Oh my god! Okay wait! I am putting you on speaker phone with others from the department of health, the local sheriff’s department and the hazmat team. We are all stationed on-site under a tent!” This was no ordinary response; it was being treated as a potential threat and public health crisis. So there Zach is, one minute just eating a bland lunch and thinking his job is to identify insects, and the next minute he’s talking to high-level officials with much more authority than himself about the simple fact that bees decided to poop on their school buses.

“To help confirm the substance identification, Zach asked them if there were any agricultural fields nearby that would result in a high abundance of bees. Sure enough, the place where the buses were parked was adjacent to agricultural fields. 

“When Zach applied to his position — arthropod diagnostician — he wasn’t aware that he was going to have to save the day by saying the word “poop” to a hazmat team and the Department of Health. We are eternally grateful about the quick response by Utah officials to keep Utah’s children safe when there was a concern, but you can’t help but laugh at the situation.”

The culprit, pictured moments after terrorizing school buses in Utah. Source: KONICA MINOLTA DIGITAL CAMERA